Correlation of telomere length and telomerase activity with occult ovarian insufficiency
- PMID: 19864453
- PMCID: PMC2795650
- DOI: 10.1210/jc.2008-2269
Correlation of telomere length and telomerase activity with occult ovarian insufficiency
Abstract
Background: Occult ovarian insufficiency is associated with infertility, impaired response to ovarian stimulation, and reduced live birth rates in women treated with assisted reproductive technologies. Although a decline in ovarian follicle number is expected with age, the proximate causes of occult ovarian insufficiency in young women remain poorly understood. Abnormalities in telomere length and telomerase activity in human granulosa cells may serve as molecular markers for this condition.
Methods: A cross-sectional study was performed. Subjects (37 yr old or less) undergoing in vitro fertilization were classified as cases of occult ovarian insufficiency or controls with mechanical infertility (male or tubal factor). Granulosa cells were acquired at the time of oocyte retrieval to quantify telomere length and telomerase activity.
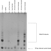
Results: Fifty-four women were enrolled. Human granulosa cell telomerase activity was demonstrated, and lack of granulosa cell telomerase activity was associated with occult ovarian insufficiency (odds ratio, 11.0; 95% confidence interval, 1.3-495.6; P = 0.02). Telomeres were shorter in women with occult ovarian insufficiency than in controls (relative telomere/single copy gene ratio, 1.88 vs. 3.15; P = 0.039).
Conclusions: Aberrant telomere homeostasis is associated with occult ovarian insufficiency in young women. This finding is consistent with the presence of telomeric attenuation that has been shown in multiple age-related conditions.
Figures

References
-
- Welt CK 2008 Primary ovarian insufficiency: a more accurate term for premature ovarian failure. Clin Endocrinol (Oxf) 68:499–509 - PubMed
-
- Levi AJ, Raynault MF, Bergh PA, Drews MR, Miller BT, Scott Jr RT 2001 Reproductive outcome in patients with diminished ovarian reserve. Fertil Steril 76:666–669 - PubMed
-
- The Practice Committee of the American Society for Reproductive Medicine 2006 Age and infertility in women. Fertil Steril 86:S248–S252 - PubMed
-
- Barnhart K, Osheroff J 1998 FSH as a predictor of fertility potential. Curr Opin Obstet Gynecol 10:227–232 - PubMed
Publication types
MeSH terms
Substances
Grants and funding
LinkOut - more resources
Full Text Sources
Other Literature Sources
Medical