Skip to main page content
U.S. flag

An official website of the United States government

Dot gov

The .gov means it’s official.
Federal government websites often end in .gov or .mil. Before sharing sensitive information, make sure you’re on a federal government site.

Https

The site is secure.
The https:// ensures that you are connecting to the official website and that any information you provide is encrypted and transmitted securely.

Access keys NCBI Homepage MyNCBI Homepage Main Content Main Navigation
Clinical Trial
. 2010 Mar;31(3):527-35.
doi: 10.3174/ajnr.A1869. Epub 2009 Nov 5.

Cerebral venous thrombosis: diagnostic accuracy of combined, dynamic and static, contrast-enhanced 4D MR venography

Affiliations
Clinical Trial

Cerebral venous thrombosis: diagnostic accuracy of combined, dynamic and static, contrast-enhanced 4D MR venography

S Meckel et al. AJNR Am J Neuroradiol. 2010 Mar.

Abstract

Background and purpose: MR including MRV is an established method to diagnose CVT. However, it remains unsettled which MR imaging modalities offer the highest diagnostic accuracy. We evaluated the accuracy of a combined, dynamic (1.5 seconds per dataset) and static (voxel size, 1.1 x 0.9 x 1.5 mm), contrast-enhanced MRV method (combo-4D MRV) relative to other established MR/MRV modalities.

Materials and methods: A total of 39 patients with CVT (n = 20) and control subjects (n = 19) underwent combo-4D MRV, 2D TOF MRV, GRE imaging, and T2W imaging. For these modalities, diagnostic accuracy (ROCs) for CVT affecting 53 out of 234 predefined venous segments was determined. Sensitivity and specificity were separately calculated for different stages of CVT (acute/subacute/chronic).

Results: Combo-4D MRV showed the highest accuracy (AUC, 0.99 [95% CI, 0.97-1.0]; sensitivity, 97% [84%-100%]) for thrombosed dural sinuses. For all thrombosed segments including cortical veins, its sensitivity was best (76% [64%-84%]; AUC, 0.92 [0.88-0.96]), followed by TOF MRV (72% [59%-81%]; AUC, 0.93 [0.88-0.97]). Even for chronic CVT, it showed a relatively high sensitivity of 67% (30%-90%). For thrombosed cortical veins alone, GRE images achieved the highest sensitivity (66% [46%-81%]; AUC, 0.88 [0.78-0.97]). Specificities of all modalities ranged from 96% to 99%.

Conclusions: Combo-4D MRV showed an excellent accuracy for the diagnosis of dural sinus thrombosis. The analysis of dynamic patterns of contrast enhancement in dural sinuses appeared useful to identify chronic thrombosis. To diagnose thrombosed cortical veins, GRE images should primarily be analyzed.

PubMed Disclaimer

Figures

Fig 1.
Fig 1.
Fifty-six-year-old woman with subacute left proximal lateral sinus thrombosis (duration of symptoms, 5 days). The arteriovenous transit of a contrast bolus is depicted on the dynamic series of combo-4D MRV (A–E; coronal MIP reformations of time-resolved contrast-enhanced MRV; temporal interval between images, 1.5 seconds). At early venous phase, faint filling of cortical veins and the superior sagittal sinus is noted (B). At subsequent later venous phase, the left proximal transverse sinus does not show increased contrast filling other than very faint peripheral enhancement of its dural wall (long arrow in C). At following later venous phases, no increase in contrast filling of this sinus portion is observed (long arrow in D and E). On axial static image of combo-4D MRV (contrast-enhanced 3D VIBE sequence), a hypointense filling defect within the proximal left transverse sinus is depicted (small arrow in F).
Fig 2.
Fig 2.
Twenty-five-year-old man with subacute thrombosis (thrombus age, 4 days) of posterior portion of superior sagittal sinus, torcular region, and right lateral sinus. Sagittal source image of static VIBE part of combo-4D MRV reveals large isointense filling defect within posterior portion of superior sagittal sinus extending into torcular area (long white arrow in A). On sagittal whole-brain MIP reconstructed image of 2D TOF MRV, most of this thrombus shows hyperintense signal intensity mimicking flow. The small vertical signal intensity gap (short white arrow in B) was misinterpreted as artifact on a single section derived from in-plane signal intensity loss (coronal acquisition). No flow signal intensity is depicted in thrombosed right lateral sinus.
Fig 3.
Fig 3.
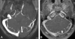
Seventy-six-year-old man with acute venous thrombosis involving left parietal cortical vein (thrombus age approximately 1 day). GRE image shows typical magnetic susceptibility effect with hypointense signal intensity and blooming in left parasagittal parietal cortical vein (long white arrow in A). Static 3D contrast-enhanced VIBE MR venographic images from combo-4D MRV are centered on region of interest (B and C). No evidence of cortical venous filling defect can be seen on axial image (B) and targeted axial thick-slab MIP reformation (thickness, 20 mm; C) of VIBE sequence in corresponding area. Likewise, this thrombosed cortical vein is not evident on 2D TOF MR venogram, as demonstrated by targeted axial thick-slab (thickness, 20 mm; D) and standard coronal whole-head (E) MIP reformations. On the latter image, additional thrombosis of right lateral sinus is depicted (short white arrows in E).
Fig 4.
Fig 4.
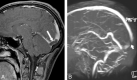
Fifty-three-year-old man with chronic left lateral sinus thrombosis (thrombus age approximately 7 years). Combo-4D MRV consisting of dynamic 3D contrast-enhanced MR venographic images and static 3D contrast-enhanced VIBE MR venographic images. Upper panel, Coronal MIP reformations of combo-4D MRV demonstrate chronic thrombosis of the left lateral sinus. On early venous phase image of the dynamic MRV series (A), a thin channel of contrast enhancement is depicted within a large gap inside the left transverse/sigmoid sinus (long arrow). An increase in this contrast enhancement is noted at the subsequent later venous phase (time delay of 1.5 seconds between dynamic images) on the corresponding image (long arrow, B). On the static MRV image (C), intense contrast-enhancement mimicking patency of these sinuses is disclosed (long arrow). Note also focal postthrombotic changes inside the right lateral sinus (short arrows) without dynamic contrast enhancement. Middle panel, Targeted axial oblique MIP reformations (parallel to the course of the lateral sinuses) of combo-4D MRV show more clearly the dynamic enhancement patterns of chronic left lateral sinus thrombosis (D–F). Lower panel: On corresponding axial GRE image, no relevant magnetic susceptibility effect is observed in the affected venous sinuses (G; short arrow and arrowheads). On T2W image, chronic thrombus reveals an isointense signal intensity (H; short arrow and arrowheads). Complete loss of normal flow signal intensity in left lateral sinus and jugular bulb, as well as irregular signal intensity void at the right transverse/sigmoid sinus junction are depicted on coronal MIP reformation of 2D-TOF MRV (I).
Fig 5.
Fig 5.
Forty-three-year-old man who underwent MR and MRV investigation for posterior fossa hemorrhage. Axial thick-slab MIP reformations of 2D TOF (A) and static part of combo-4D MRV (contrast-enhanced 3D VIBE, B) are targeted on lateral sinuses (slab thickness, 20 mm). On TOF MRV image, large flow gap in proximal transverse sinus is demonstrated (long white arrow in A). Combo-4D MRV image shows hypoplastic transverse sinus without evidence of thrombosis (short white arrow in B).

References

    1. Bousser MG, Ferro JM. Cerebral venous thrombosis: an update. Lancet Neurol 2007;6:162–70 - PubMed
    1. Leach JL, Fortuna RB, Jones BV, et al. . Imaging of cerebral venous thrombosis: current techniques, spectrum of findings, and diagnostic pitfalls. Radiographics 2006;26 Suppl 1:S19–41; discussion S42–43. - PubMed
    1. Stam J. Thrombosis of the cerebral veins and sinuses. N Engl J Med 2005;352:1791–98 - PubMed
    1. Liang L, Korogi Y, Sugahara T, et al. . Evaluation of the intracranial dural sinuses with a 3D contrast-enhanced MP-RAGE sequence: prospective comparison with 2D-TOF MR venography and digital subtraction angiography. AJNR Am J Neuroradiol 2001;22:481–92 - PMC - PubMed
    1. Leach JL, Strub WM, Gaskill-Shipley MF. Cerebral venous thrombus signal intensity and susceptibility effects on gradient recalled-echo MR imaging. AJNR Am J Neuroradiol 2007;28:940–45 - PMC - PubMed

Publication types