Skip to main page content
U.S. flag

An official website of the United States government

Dot gov

The .gov means it’s official.
Federal government websites often end in .gov or .mil. Before sharing sensitive information, make sure you’re on a federal government site.

Https

The site is secure.
The https:// ensures that you are connecting to the official website and that any information you provide is encrypted and transmitted securely.

Access keys NCBI Homepage MyNCBI Homepage Main Content Main Navigation
Comparative Study
. 2009 Oct;80(5):585-9.
doi: 10.3109/17453670903316850.

Distal radius fractures in children: substantial difference in stability between buckle and greenstick fractures

Affiliations
Comparative Study

Distal radius fractures in children: substantial difference in stability between buckle and greenstick fractures

Per-Henrik Randsborg et al. Acta Orthop. 2009 Oct.

Abstract

Background and purpose: Numerous follow-up visits for wrist fractures in children are performed without therapeutic consequences. We investigated the degree to which the follow-up visits reveal complications and lead to change in management. The stability of greenstick and buckle fractures of the distal radius was assessed by comparing the lateral angulation radiographically.

Patients and methods: The medical records of 305 distal radius fractures in patients aged less than 16 years treated at our institution in 2006 were reviewed, and any complications were noted. The fracture type was determined from the initial radiographs and the angulation on the lateral films was noted.

Results: Only 1 of 311 follow-ups led to an active intervention. The greenstick fractures had more complications than the buckle fractures. The lateral angulation of the buckle fractures did not change importantly throughout the treatment. The greenstick fractures displaced 5 degrees on average, and continued to displace after the first 2 weeks. On average, the complete fractures displaced 9 degrees .

Conclusion: Buckle fractures are stable and do not require follow-up. Greenstick fractures are unstable and continue to displace after 2 weeks. Complete fractures of the distal radius are uncommon in children, and highly unstable. A precise classification of fracture type at the time of diagnosis would identify a smaller subset of patients that require follow-up.

PubMed Disclaimer

Figures

Figure 1.
Figure 1.
Flow diagram of patients less than 16 years old with a distal radius fracture who were treated at our institution in 2006. Exclusion criteria are shown to the right.
Figure 2.
Figure 2.
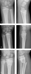
Primary radiographs of 3 different metaphyseal fractures, demonstrating the difference in cortical involvement in buckle (A), greenstick (B), and complete (C) fractures. A. Buckle fracture in a 7-year-old girl. B. Greenstick fracture in an 8-year-old girl. C. Complete fracture in a 7-year-old boy.
Figure 3.
Figure 3.
Box plot showing distribution of lateral angulation at presentation by fracture type among unmanipulated radius fractures. Median value is shown in each box. The p-values relate to median lateral angulation against the median for buckle fractures (Mann-Whitney test).
Figure 4.
Figure 4.
Graph showing the change in lateral angulation over time for the 6 greenstick fractures that ended up with a dorsal angulation of over 20°. 2 fractures had a follow-up after 6 months, demonstrating remodeling potential. One fracture improved at first follow-up, but then displaced to end up over 20°.

References

    1. Al-Ansari K, Howard A, Seeto B, Yoo S, Zaki S, Boutis K. Minimally angulated pediatric wrist fractures: is immobilization without manipulation enough? CJEM. 2007;9((1)):9–15. - PubMed
    1. Alemdaroglu KB, Iltar S, Cimen O, Uysal M, Alagoz E, Atlihan D. Risk factors in redisplacement of distal radial fractures in children. J Bone Joint Surg (Am) 2008;90((6)):1224–30. - PubMed
    1. Brudvik C, Hove LM. Childhood fractures in Bergen, Norway: identifying high-risk groups and activities. J Pediatr Orthop. 2003;23((5)):629–34. - PubMed
    1. Cannata G, De MF, Mancini F, Ippolito E. Physeal fractures of the distal radius and ulna: long-term prognosis. J Orthop Trauma. 2003;17((3)):172–9. - PubMed
    1. Davidson JS, Brown DJ, Barnes SN, Bruce CE. Simple treatment for torus fractures of the distal radius. J Bone Joint Surg (Br) 2001;83((8)):1173–5. - PubMed

Publication types