Chronic pyelonephritis presenting as a renal sinus tumor with retroperitoneal extension: a case report
- PMID: 19918288
- PMCID: PMC2767150
- DOI: 10.4076/1752-1947-3-9054
Chronic pyelonephritis presenting as a renal sinus tumor with retroperitoneal extension: a case report
Abstract
Introduction: Chronic pyelonephritis is associated with progressive renal scarring and occurs, most of the time, in patients with major anatomical anomalies, including urinary tract obstruction, calculi, renal dysplasia or vesicoureteric reflux. We report the computed tomography imaging findings of a patient with chronic pyelonephritis appearing as a renal sinus mass. To our knowledge, it is the first time that such a case has been published in the literature.
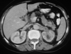
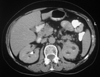
Case presentation: We present a case of a 68-year-old woman who underwent a computed tomography scan of the abdomen in the work-up for recently diagnosed hypertension. A non-enhancing left renal sinus mass was detected extending to the para-aortic space. The initial diagnosis was that of a tumor of the collecting system. Nephro-ureterectomy was performed and the pathology results revealed changes of chronic pyelonephritis.
Conclusion: Chronic pyelonephritis presenting as a renal sinus mass is reported for the first time in the literature. This may lead to the conclusion that diagnostic ureteropyeloscopy and biopsy should be performed prior to radical surgery for possible upper tract urothelial tumors.
Figures




References
-
- Roberts JA. Mechanisms of renal damage in chronic pyelonephritis (reflux nephropathy). Review. Curr Top Pathol. 1995;88:265–287. - PubMed
-
- Kawashima A, Sandler CM, Goldman SM, Raval BK, Fishman EK. CT of renal inflammatory disease. Radiographics. 1997;17:851–866. - PubMed
-
- Dunmore FR. Chronic atrophic pyelonephritis in children. Review. Adv Nurse Pract. 2004;12:49–50. - PubMed
LinkOut - more resources
Full Text Sources