Brucella liver abscess; imaging approach, differential diagnosis, and therapeutic management: a case report
- PMID: 19918510
- PMCID: PMC2769340
- DOI: 10.4076/1757-1626-2-7143
Brucella liver abscess; imaging approach, differential diagnosis, and therapeutic management: a case report
Abstract
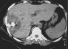
We report a new case of a brucellar liver abscess (brucelloma) in a young woman without previous remote brucellosis who presented with pronounced systemic and mild local symptoms. Brucelloma is the result of calcification of a granoulomatous reaction induced by persistent Brucella in macrophages. It represents a rare manifestation that follows previously undetected brucellosis. We describe the findings in plain radiograph, ultrasound, computed tomography, and magnetic resonance images. Together with the positive serology, imaging yielded important elements supporting the diagnosis. Modern radiological techniques also contributed to the final therapeutic management, preventing unnecessary laparotomy. Sequencing confirmed the definite diagnosis of Brucella melitensis as the causative factor.
Figures





References
-
- Sadia Pérez D, Cea-Calvo L, Aguado García JM, Ruiz Ilundain G, López Martín A, González Gómez C. Brucella hepatic abscess. Report of a case and review of the literature. Rev Clin Esp. 2001;201(6):322–326. - PubMed
-
- Foulongne V, Bourg G, Cazevieille C, Michaux-Charachon S, O'Callaghan D. Identification of Brucella suis genes affecting intracellular survival in an in vitro human macrophage infection model by signature-tagged transposon mutagenesis. Infect Immun. 2000;68(3):1297–1303. doi: 10.1128/IAI.68.3.1297-1303.2000. - DOI - PMC - PubMed
Publication types
LinkOut - more resources
Full Text Sources