Wunderlich's syndrome and hemorrhagic shock
- PMID: 20009313
- PMCID: PMC2776371
- DOI: 10.4103/0974-2700.55346
Wunderlich's syndrome and hemorrhagic shock
Abstract
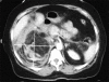
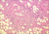
We report a case of Wunderlich's syndrome in an obese woman associated with massive retroperitoneal hemorrhage. Stable hemodynamic patient condition was obtained by selective arterial embolization. Since the first embolization of a renal angiomyolipoma in 1976 by Moorhead et al., highly selective renal arterial embolization of angiomyolipoma with rupture has become a procedure that offers greater efficacy, particularly in life-threatening cases.
Conflict of interest statement
Figures




References
-
- Hao LW, Lin CM, Tsai SH. Spontaneous hemorrhagic angiomyolipoma present with massive hematuria leading to urgent nephrectomy. Am J Emerg Med. 2008;26:249. - PubMed
-
- Oesterling JE, Fishman EK, Goldman SM, Marshall FF. The management of renal angiomyolipoma. J Urol. 1986;135:1121–4. - PubMed
-
- Wunderlich CR. Handbuch der Pathologie und Therapie. 2nd ed. Stuttgart: Ebner and Seubert; 1856.
-
- Albi G, Del Campo L, Tagarro D. Wunderlich's syndrome: causes, diagnosis and radiological management. Clin Radiol. 2002;57:840–5. - PubMed
-
- Zhang JQ, Feilding JR, Zou KH. Etiology of spontaneous perirenal hemorrhage: a meta-analysis. J Urol. 2002;167:1593–6. - PubMed