Acute appendicitis presenting as small bowel obstruction: two case reports
- PMID: 20062683
- PMCID: PMC2803903
- DOI: 10.1186/1757-1626-2-9106
Acute appendicitis presenting as small bowel obstruction: two case reports
Abstract
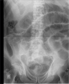
Acute appendicitis is a common surgical problem however the diagnosis is often overlooked when it presents as a small bowel obstruction. In this report we present two cases of elderly patients who presented with small bowel obstruction and raised inflammatory markers. Both patients were successfully treated with a laparotomy, adhesiolysis and appendicectomy and went on to make a good recovery.
Figures
References
-
- Assenza M, Ricci G, Bartolucci P, Modini C. Mechanical small bowel obstruction due to an inflamed appendix wrapping around the last loop of ileum. Il Giornale Di Chirurgia. 2005;26(6-7):261–266. - PubMed
-
- Gupta S, Vaidya M. Mechanical small bowel obstruction cased by acute appendicitis. The American Surgeon. 1969;35(9):670–674. - PubMed
-
- Zissen R, Kots E, Shpindel T, Shapiro-Feinberg M. Acute appendicitis with intestinal non-rotation presenting with partial small bowel obstruction diagnosed on CT. The British Journal of Radiology. 2000;73:557–559. - PubMed
LinkOut - more resources
Full Text Sources
