Ancient schwannoma of lumbar spine and review of the literature on paraspinal tumors, the role of preoperative biopsy: a case report
- PMID: 20072675
- PMCID: PMC2806391
- DOI: 10.1186/1757-1626-2-9325
Ancient schwannoma of lumbar spine and review of the literature on paraspinal tumors, the role of preoperative biopsy: a case report
Abstract
Introduction: Schwannomas are rare encapsulated tumors that derive from the nerve sheath and should be removed due to their infrequent, but existent possibility of malignancy.
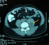
Case presentation: We report a case of a mass located in the L5 lumbar spine in a 42 year old man, presented with intermittent lumbar pain. Ultrasound, CT and MRI were used to examine the characteristics of the lesion. Fine needle aspiration showed cytologic characteristics of benign schwannoma and final histological diagnosis was ancient schwannoma. An extraperitoneal approach, through a left paramedian incision was used to approach the site of the mass. The lesion originated from the nerve root of the L4-L5 lumbar spinal space and a complete excision was achieved.
Conclusion: A great variety of tumors should be differentiated when a paraspinal mass is discovered, including neurogenic, neuroendocrine and vascular tumors, as well as malignancies, cystic and inflammatory masses. Fine needle aspiration is a useful and reliable tool in the preoperative evaluation of paraspinal masses. A review of the literature is also presented.
Figures
References
-
- Winn HR. Youmans Neurological Surgery. 4. Philadelphia: WB Saunders; 1997.
-
- Schindler OS, Dixon JH, Case P. Retroperitoneal giant schwannomas: report on two cases and review of the literature. J Orthop Surg. 2002;10(1):77–84. - PubMed
-
- Gross C, Lecocq J, Isner ME, Vautravers P, Meyer C, Kehrli P. [A rare cause of constipation: neurinoma of the fourth lumbar nerve. Case report and review of the literature] Ann Med Interne. 2002;153(3):201–205. - PubMed
LinkOut - more resources
Full Text Sources
