Heterosubtypic anti-avian H5N1 influenza antibodies in intravenous immunoglobulins from globally separate populations protect against H5N1 infection in cell culture
- PMID: 20076794
- PMCID: PMC2805843
- DOI: 10.4172/1747-0862.1000038
Heterosubtypic anti-avian H5N1 influenza antibodies in intravenous immunoglobulins from globally separate populations protect against H5N1 infection in cell culture
Abstract
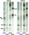
With antigenically novel epidemic and pandemic influenza strains persistently on the horizon it is of fundamental importance that we understand whether heterosubtypic antibodies gained from exposures to circulating human influenzas exist and can protect against emerging novel strains. Our studies of IVIG obtained from an infection-naive population (Australian) enabled us to reveal heterosubtypic influenza antibodies that cross react with H5N1. We now expand those findings for an Australian donor population to include IVIG formulations from a variety of northern hemisphere populations. Examination of IVIGs from European and South East-Asian (Malaysian) blood donor populations further reveal heterosubtypic antibodies to H5N1 in humans from different global regions. Importantly these protect against highly pathogenic avian H5N1 infection in vitro, albeit at low titres of inhibition. Although there were qualitative and quantitative differences in binding and protection between globally different formulations, the heterosubtypic antibody activities for the respective IVIGs were in general quite similar. Of particular note because of the relative geographic proximity to the epicentre of H5N1 and the majority of human infections, was the similarity in the antibody binding responses between IVIGs from the Malayan peninsula, Europe and Australia. These findings highlight the value of employing IVIGs for the study of herd immunity, and particularly heterosubtypic antibody responses to viral antigens such as those conserved between circulating human influenzas and emerging influenza strains such as H5N1. They also open a window into a somewhat ill defined arena of antibody immunity, namely heterosubtypic immunity.
Keywords: H1N1; H3N2; H5N1; Heterosubtypic; IVIG; antibody; influenza.
Conflict of interest statement
None declared.
Figures





References
-
- Lynch GW, Selleck PW, Axell AM, et al. Cross-Reactive anti-Avian H5N1 Influenza Neutralizing Antibodies in a Normal ‘Exposure-Naive’ Australian Blood Donor Population. The Open Immunol J. 2008;1:13–19.
-
- Simon HU, Spath PJ. IVIG-mechanisms of action. Allergy. 2003;58:543–552. - PubMed
-
- Cottey R, Rowe CA, Bender BS. Current Protocols in Immunology: Influenza Virus. New York, USA: John Wiley and Sons Inc; 2001. Chapter 19, Unit 19-11. - PubMed
LinkOut - more resources
Full Text Sources
Other Literature Sources