Skip to main page content
U.S. flag

An official website of the United States government

Dot gov

The .gov means it’s official.
Federal government websites often end in .gov or .mil. Before sharing sensitive information, make sure you’re on a federal government site.

Https

The site is secure.
The https:// ensures that you are connecting to the official website and that any information you provide is encrypted and transmitted securely.

Access keys NCBI Homepage MyNCBI Homepage Main Content Main Navigation
. 2010 Jun;31(6):1042-8.
doi: 10.3174/ajnr.A1989. Epub 2010 Feb 11.

Apparent diffusion coefficient of glial neoplasms: correlation with fluorodeoxyglucose-positron-emission tomography and gadolinium-enhanced MR imaging

Affiliations

Apparent diffusion coefficient of glial neoplasms: correlation with fluorodeoxyglucose-positron-emission tomography and gadolinium-enhanced MR imaging

A I Holodny et al. AJNR Am J Neuroradiol. 2010 Jun.

Abstract

Background and purpose: Gd-enhancement provides essential information in the assessment of brain tumors. However, enhancement does not always correlate with histology or disease activity, especially in the setting of current therapies. Our aim was to compare FDG-PET scans to ADC maps and Gd-enhanced MR images in patients with glial neoplasms to assess whether DWI might offer information not available on routine MR imaging sequences and whether such findings have prognostic significance.

Materials and methods: Institutional review board approval was obtained for this retrospective review, which was conducted in full compliance with HIPAA regulations. Twenty-one patients (11 men and 10 women) with glial tumors underwent FDG-PET and MR imaging, including ADC and Gd- enhancement. Subjectively, regions of interest were drawn around the following areas: 1) increased FDG uptake, 2) decreased signal intensity on ADC maps, and 3) Gd-enhancement. Objectively, FDG-PET and MR images were co-registered, and pixel-by-pixel comparison of ADC to PET values was made for all regions of interest. Correlation coefficients (r values) were calculated for each region of interest. Percentage overlap between regions of interest was calculated for each case.

Results: Subjective evaluation showed 60% of patients with excellent or good correlation between ADC maps and FDG-PET. Pixel-by-pixel comparison demonstrated r values that ranged from -0.72 to -0.21. There was significantly greater overlap between decreased ADC and increased FDG-PET uptake (67.1 +/- 15.5%) versus overlap between Gd-enhancement and increased FDG-PET uptake (54.4 +/- 27.5%) (P < .05). ADC overlap was greater with increased FDG-PET than with Gd-enhancement in 8/9 cases. Survival data revealed that the presence of restricted diffusion on ADC correlated with patient survival (P < .0001).

Conclusions: ADC maps in patients with brain tumors provide unique information that is analogous to FDG-PET. There is a greater overlap between ADC and FDG-PET compared with Gd-enhancement. ADC maps can serve to approximate tumor grade and predict survival.

PubMed Disclaimer

Figures

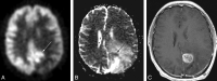
Fig 1.
Fig 1.
A 49-year-old man with an anaplastic astrocytoma. The PET scan (A) demonstrates a C-shaped area of increased radiopharmaceutical uptake (arrow), which exquisitely matches the area of restricted diffusion on the ADC map (arrow, B). C, The correspondence between the FDG-PET scan and the ADC map is better than that in the gadolinium-enhanced MR image (C).
Fig 2.
Fig 2.
A 20-year-old woman with an anaplastic astrocytoma. The area of FDG-PET (arrow, A) uptake closely matches the area of restricted diffusion on the ADC map (arrow, B). This area only shows subtle enhancement (C). The area of bright enhancement does not correlate with either increased FDG-PET uptake or restricted diffusion.
Fig 3.
Fig 3.
Top, Survival curves for the 10 patients with restricted diffusion on ADC maps and for the 11 patients without restricted diffusion on ADC maps, P < .0001. Middle, Survival curves for the 11 patients with increased FDG uptake on PET and the 10 patients with no increased FDG uptake on PET, P = .0004. Bottom, Survival curves for the 10 patients with gadolinium enhancement and the 11 patients without gadolinium enhancement.

References

    1. Burger PC, Vogel FS. The brain: tumors. In: Burger PC, Vogel FS. eds. Surgical Pathology of the Central Nervous System and Its Coverings. New York: Wiley; 1982:223–66
    1. DeAngelis L. Brain tumors. N Engl J Med 2003;344:114–23 - PubMed
    1. Hesselager G, Holland EC. Using mice to decipher the molecular genetics of brain tumors. Neurosurgery 2003;53:685–94 - PubMed
    1. Dai C, Holland EC. Astrocyte differentiation states and glioma formation. Cancer J 2003;9:72–81 - PubMed
    1. Fomchenko EI, Holland EC. Mouse models of brain tumors and their applications in preclinical trials. Clin Cancer Res 2006;12:5288–97 - PubMed

MeSH terms