Clinical outcomes and complications after pedicle subtraction osteotomy for fixed sagittal imbalance patients : a long-term follow-up data
- PMID: 20224706
- PMCID: PMC2836458
- DOI: 10.3340/jkns.2010.47.2.95
Clinical outcomes and complications after pedicle subtraction osteotomy for fixed sagittal imbalance patients : a long-term follow-up data
Abstract
Objective: Clinical, radiographic, and outcomes assessments, focusing on complications, were performed in patients who underwent pedicle subtraction osteotomy (PSO) to assess correction effectiveness, fusion stability, procedural safety, neurological outcomes, complication rates, and overall patient outcomes.
Methods: We analyzed data obtained from 13 consecutive PSO-treated patients presenting with fixed sagittal imbalances from 1999 to 2006. A single spine surgeon performed all operations. The median follow-up period was 73 months (range 41-114 months). Events during perioperative course and complications were closely monitored and carefully reviewed. Radiographs were obtained and measurements were done before surgery, immediately after surgery, and at the most recent follow-up examinations. Clinical outcomes were assessed using the Oswestry Disability Index and subjective satisfaction evaluation.
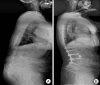
Results: Following surgery, lumbar lordosis increased from -14.1 degrees +/- 20.5 degrees to -46.3 degrees +/- 12.8 degrees (p < 0.0001), and the C7 plumb line improved from 115 +/- 43 mm to 32 +/- 38 mm (p < 0.0001). There were 16 surgery-related complications in 8 patients; 3 intraoperative, 3 perioperative, and 10 late-onset postoperative. The prevalence of proximal junctional kyphosis (PJK) was 23% (3 of 13 patients). However, clinical outcomes were not adversely affected by PJK. Intraoperative blood loss averaged 2,984 mL. The C7 plumb line values and postoperative complications were closely correlated with clinical results.
Conclusion: Intraoperative or postoperative complications are relatively common following PSO. Most late-onset complications in PSO patients were related to PJK and instrumentation failure. Correcting the C7 plumb line value with minimal operative complications seemed to lead to better clinical results.
Keywords: Clinical outcome; Complication; Pedicle subtraction osteotomy; Proximal junctional kyphosis; Sagittal imbalance.
Figures



References
-
- Ahn UM, Ahn NU, Buchowski JM, Kebaish KM, Lee JH, Song ES, et al. Functional outcome and radiographic correction after spinal osteotomy. Spine (Phila Pa 1976) 2002;27:1303–1311. - PubMed
-
- Booth KC, Bridwell KH, Lenke LG, Baldus CR, Blanke KM. Complications and predictive factors for the successful treatment of flatback deformity (fixed sagittal imbalance) Spine (Phila Pa 1976) 1999;24:1712–1720. - PubMed
-
- Bridwell KH, Lewis SJ, Edwards C, Lenke LG, Iffrig TM, Berra A, et al. Complications and outcomes of pedicle subtraction osteotomies for fixed sagittal imbalance. Spine (Phila Pa 1976) 2003;28:2093–2101. - PubMed
-
- Buchowski JM, Bridwell KH, Lenke LG, Kuhns CA, Lehman RA, Jr, Kim YJ, et al. Neurologic complications of lumbar pedicle subtraction osteotomy : a 10-year assessment. Spine (Phila Pa 1976) 2007;32:2245–2252. - PubMed
-
- Casey MP, Asher MA, Jacobs RR, Orrick JM. The effect of Harrington rod contouring on lumbar lordosis. Spine (Phila Pa 1976) 1987;12:750–753. - PubMed
LinkOut - more resources
Full Text Sources
Miscellaneous