Gold nanocages as photothermal transducers for cancer treatment
- PMID: 20225187
- PMCID: PMC3035053
- DOI: 10.1002/smll.200902216
Gold nanocages as photothermal transducers for cancer treatment
Abstract
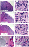
Gold nanocages represent a new class of nanomaterials with compact size and tunable optical properties for biomedical applications. They exhibit strong light absorption in the near-infrared region in which light can penetrate deeply into soft tissue. After PEGylation, the Au nanocages can be passively delivered to tumors in animals. Analysis of tissue distribution for the PEGylated Au nanocages showed that the tumor uptake was 5.7 %ID/g at 96 h post injection. The Au nanocages were found not only on the surface, but also in the core of the tumor. By exposing tumors to a near-infrared diode laser (0.7 W/cm2, CW, λ=808 nm) for 10 min, the photothermal effect of the Au nanocages could selectively destroy tumor tissue with minimum damage to the surrounding healthy tissue. Data from functional [18F]fluorodexoyglucose positron emission tomography revealed a decrease in tumor metabolic activity upon the photothermal treatment. Histological examination identified extensive damage to the nuclei of tumor cells and tumor interstitium.
Figures
References
-
-
For reviews: Hu M, Chen J, Li ZY, Au L, Hartland GV, Li X, Marquez M, Xia Y. Chem Soc Rev. 2006;35:1084.Sperling RA, Gil PR, Zhang F, Zanella M, Parak WJ. Chem Soc Rev. 2008;37:1896.Biosselier E, Astrue D. Chem Soc Rev. 2009;38:1759.
-
-
- Huang X, El-Sayed IH, Qian W, El-Sayed MA. J Am Chem Soc. 2006;128:2115. - PubMed
Publication types
MeSH terms
Substances
Grants and funding
LinkOut - more resources
Full Text Sources
Other Literature Sources
