Use of an image intensifier to remove a challenging foreign body in a segmental bronchiole
- PMID: 20353635
- PMCID: PMC5696902
- DOI: 10.1308/147870810X476737
Use of an image intensifier to remove a challenging foreign body in a segmental bronchiole
Abstract
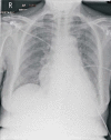
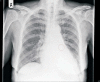
Aspiration of foreign bodies into the tracheobronchial tree is a common presentation in children, but less so in adults. Successful extraction depends on the type of foreign body aspirated, location of the foreign body in the tracheobronchial tree, the experience of the operator and the instrumentation available. We report on our management of a patient who presented with an aspirated foreign body.
Figures
References
-
- Umapathy N, Panesar J, Whitehead BF, Taylor JF. Removal of a foreign body from the bronchial tree – a new method. J Laryngol Otol 1999; : 851–3. - PubMed
-
- Bunno M, Kawaguchi M, Yamahara K, Kanda C. Removal of a foreign body (artificial tooth) from the bronchial tree: a new method. Intern Med 2008; : 1695–8. - PubMed
-
- Murray AD, Walner DL. Methods in instrumentation for removal of airway foreign bodies. Op Tech Otolaryngol Head Neck Surg 2002; : 2–5.
-
- Fung ST, Poon YY, Chong ZK, Jawan B, Lee JH. Removal of an aspirated prosthetic tooth by tracheal backflow air. Anesth Analg 2000; : 993–4. - PubMed
Publication types
MeSH terms
LinkOut - more resources
Full Text Sources
Medical
