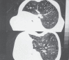
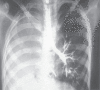
Agenesis of lung - a report of two cases
- PMID: 20396661
- PMCID: PMC2853047
- DOI: 10.4103/0970-2113.44136
Agenesis of lung - a report of two cases
Abstract
Agenesis of lung is a rare congenital disorder. We are reporting varied degree of pulmonary agenesis in two adult patients.
Keywords: Agenesis; Hypoplasia; Opaque hemithorax; Recurrent lower respiratory tract infections.
Figures








References
-
- De Pozze, Brescia MA, Amermon EE, Sharma KK. 1960;77:485–490.
-
- Munchmeyer cited by Ferguson FF, Meuhauser E.B.D. Congenital absence of lung and other anomalies of tracheobronchial tree. Am. J. Reontgen, 1944;52:459–471.
-
- Oymada A, Gasul B.M, Holinger P.M. Agenesis of the Lung. Am J Dis Child. 1953;85:182–187. - PubMed
-
- Vale A.R. Agenesis of the lung. Am. J. Surg, 1955;89:90–100. - PubMed
LinkOut - more resources
Full Text Sources