Imaging characteristics of schwannoma of the cervical sympathetic chain: a review of 12 cases
- PMID: 20616174
- PMCID: PMC7966108
- DOI: 10.3174/ajnr.A2212
Imaging characteristics of schwannoma of the cervical sympathetic chain: a review of 12 cases
Abstract
Background and purpose: SCSCs are rare. This study reviews our experience with CT and MR imaging of SCSCs.
Materials and methods: We retrospectively reviewed the CT and MR imaging studies as well as clinical data of 12 patients (6 men, 6 women; mean age, 41 years; range, 27-55 years) with surgicopathologic evidence of SCSC, referred to our institution between January 1999 to October 2008. Images were evaluated with respect to the location, number, morphology, attenuation/signal intensity, enhancement characteristics, and patterns of mass effect of the schwannomas.
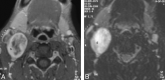
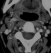
Results: The schwannomas were solitary, well-circumscribed, and medial to the carotid sheath. Seven were hypoattenuated to skeletal muscle on CT with poor postcontrast enhancement, 4 were isoattenuated, and a single lesion showed intense heterogeneous enhancement. At MR imaging, they were heterogeneously bright on T2WI with intense inhomogeneous postgadolinium enhancement. The ICA was displaced anteriorly in 9 patients with a component of lateral displacement in 8 of these patients. The ICA was in a neutral position in 2 patients and posterolaterally displaced in 1 patient. A single patient demonstrated separation of the ICA and IJV. There was splaying of the carotid bifurcation in 4 patients.
Conclusions: We present the patterns of mass effect and the spectrum of CT and MR imaging characteristics of SCSC, including certain observations that are infrequently described in the published literature.
Figures





References
-
- Malone JP, Lee WJ, Levin RJ. Clinical characteristics and treatment outcome for nonvestibular schwannomas of the head and neck. Am J Otolaryngol 2005;26:108–12 - PubMed
-
- Som PM, Curtin HD. Parapharyngeal space. In: Som PM, Curtin HD, eds. Head and Neck Imaging. Vol 2. 3rd ed. St Louis: Mosby; 1996:915–51
-
- Lyons AJ, Mills CC. Anatomical variants of the cervical sympathetic chain to be considered during neck dissection. Br J Oral Maxillofac Surg 1998;36:180–82 - PubMed
-
- Harnsberger HR, Osborn AG. Differential diagnosis of head and neck lesions based on their space of origin. 1. The suprahyoid part of the neck. AJR Am J Roentgenol 1991;157:147–54 - PubMed
MeSH terms
Substances
LinkOut - more resources
Full Text Sources
Medical
Miscellaneous