Primary malignant fibrous histiocytoma of the lung: a case report
- PMID: 20671984
- PMCID: PMC2909771
- DOI: 10.1155/2010/389692
Primary malignant fibrous histiocytoma of the lung: a case report
Abstract
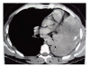
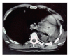
Primary malignant fibrous histiocytoma (MFH) of the lung is extremely rare although it is among the most common soft tissue sarcomas in adults. Surgery is the primary mode of therapy, with high rates of local and distant recurrence, while radiation therapy appears to be a very useful adjunct, decreasing local relapse. We report a case of primary malignant fibrous histiocytoma of the lung. Fourteen years after surgical resection, the patient is still alive although with multiple metastatic lesions throughout his body.
Figures
References
- 
    - Yousem SA, Hochholzer L. Malignant fibrous histiocytoma of the lung. Cancer. 1987;60(10):2532–2541. - PubMed
 
- 
    - Kim OH, Lee KY. Malignant fibrous histiocytoma of primary omental origin in an infant. Pediatric Radiology. 1994;24(4):285–287. - PubMed
 
- 
    - Weiss SW, Enzinger FM. Malignant fibrous histiocytoma: an analysis of 200 cases. Cancer. 1978;41(6):2250–2266. - PubMed
 
- 
    - Rzyman W, Jaskiewicz K, Murawski M, et al. Primary malignant fibrous histiocytoma of the lung. Thoracic and Cardiovascular Surgeon. 2007;55(3):186–189. - PubMed
 
- 
    - Halyard MY, Camoriano JK, Culligan JA, et al. Malignant fibrous histiocytoma of the lung: Report of four cases and review of the literature. Cancer. 1996;78(12):2492–2497. - PubMed
 
Publication types
LinkOut - more resources
- Full Text Sources
 
         
               
               
               
               
              