Anti-glomerular basement membrane disease superimposed on membranous nephropathy: a case report and review of the literature
- PMID: 20678230
- PMCID: PMC2919553
- DOI: 10.1186/1752-1947-4-237
Anti-glomerular basement membrane disease superimposed on membranous nephropathy: a case report and review of the literature
Abstract
Introduction: Anti-glomerular basement membrane disease is a rare autoimmune disorder characterized by pulmonary hemorrhage, crescentic glomerulonephritis and the presence of circulating anti-glomerular basement membrane antibodies. The simultaneous occurrence of both anti-glomerular basement membrane disease and membranous nephropathy is rare.
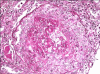
Case presentation: A 59-year-old Hispanic man presented with acute onset of nausea and vomiting and was found to have renal insufficiency. Work-up included a kidney biopsy, which revealed anti-glomerular basement membrane disease with underlying membranous nephropathy. He was treated with emergent hemodialysis, intravenous corticosteroids, plasmapheresis, and cyclophosphamide without improvement in his renal function.
Conclusion: Simultaneous anti-glomerular basement membrane disease and membranous nephropathy is very rare. There have been 16 previous case reports in the English language literature that have been associated with a high mortality and morbidity, and a very high rate of renal failure resulting in hemodialysis. Co-existence of membranous nephropathy and anti-glomerular basement membrane disease may be immune-mediated, although the exact mechanism is not clear.
Figures
References
-
- Kalluri R, Wilson CB, Weber M, Gunwar S, Chonko AM, Neilson EG, Hudson BG. Identification of the α3 chain of type IV collagen as the common autoantigen in antibasement membrane disease and Goodpasture syndrome. J Am Soc Nephrol. 1995;6:1178–1185. - PubMed
-
- Moorthy AV, Zimmerman SW, Burkholder PM, Harrington AR. Association of crescentic glomerulonephritis with membranous glomerulonephropathy: a report of three cases. Clin Nephrol. 1976;6:319–325. - PubMed
-
- Pasternack A, Tornroth T, Linder E. Evidence of both anti-GBM and immune complex mediated pathogenesis in the initial phase of Goodpasture's syndrome. Clin Nephrol. 1978;9:77–85. - PubMed
LinkOut - more resources
Full Text Sources
