Aggravation of Dysphagia aortica after wearing the abdominal binder
- PMID: 20680173
- PMCID: PMC2912127
- DOI: 10.5056/jnm.2010.16.3.323
Aggravation of Dysphagia aortica after wearing the abdominal binder
Abstract
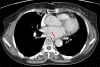
Dysphagia aortica is a rare etiology of dysphagia resulting from extrinsic compression of esophagus by thoracic aortic aneurysm or tortuosity and elongation of thoracic aorta. The clinical findings resemble those of esophageal malignancy or esophageal motility disorders. Therefore, primary diagnosis of dysphagia aortica is very difficult. We, herein, report a case of dysphagia aortica aggravated by wearing the abdominal binder in a 70-year-old woman and review the literature pertaining to this condition. Dysphagia aortica should be considered in the differential diagnosis of dysphagia.
Keywords: Abdomen; Aortica; Deglutition disorder; Equipment; Manometry.
Conflict of interest statement
Conflicts of interest: None.
Figures
References
-
- Wilkinson JM, Euinton HA, Smith LF, Bull MJ, Thorpe JA. Diagnostic dilemmas in dysphagia aortica. Eur J Cardiothorac Surg. 1997;11:222–227. - PubMed
-
- Jougon JB, Lepront DJ, Dromer CE. Posterior dislocation of the sternoclavicular joint leading to mediastinal compression. Ann Thorac Surg. 1996;61:711–713. - PubMed
-
- Ramakantan R, Shah P. Dysphagia due to mediastinal fibrosis in advanced pulmonary tuberculosis. AJR Am J Roentgenol. 1990;154:61–63. - PubMed
LinkOut - more resources
Full Text Sources
