Pathologic studies on suspect animal and human cases of Rift Valley fever from an outbreak in Eastern Africa, 2006-2007
- PMID: 20682904
- PMCID: PMC2913495
- DOI: 10.4269/ajtmh.2010.09-0463
Pathologic studies on suspect animal and human cases of Rift Valley fever from an outbreak in Eastern Africa, 2006-2007
Abstract
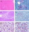
Rift Valley fever (RVF) is an important viral zoonotic disease in Africa with periodic outbreaks associated with severe disease, death, and economic hardship. During the 2006-2007 outbreaks in Eastern Africa, postmortem and necropsy tissue samples from 14 animals and 20 humans clinically suspected of RVF were studied with histopathologic evaluation and immunohistochemical (IHC) assays. Six animal and 11 human samples had IHC evidence of Rift Valley fever virus (RVFV) antigens. We found that extensive hepatocellular necrosis without prominent inflammatory cell infiltrates is the most distinctive histopathologic change in liver tissues infected with RVFV. Pathologic studies on postmortem tissue samples can help establish the diagnosis of RVF, differentiating from endemic diseases with clinical manifestations similar to RVF, such as malaria, leptospirosis, or yellow fever.
Figures
References
-
- Scott GR, Heisch RB. Rift Valley fever and Rift Valley rodents. East Afr Med J. 1959;36:665–667. - PubMed
-
- Mundel B, Gear J. Rift valley fever. I. The occurrence of human cases in Johannesburg. S Afr Med J. 1951;25:797–800. - PubMed
-
- Swanepoel R. Studies on the epidemiology of Rift Valley fever. JS Afr Vet Assoc. 1976;47:93–94. - PubMed
-
- Imam IZ, Darwish MA. A preliminary report on an epidemic of Rift Valley fever (RVF) in Egypt. J Egypt Public Health Assoc. 1977;52:417–418. - PubMed
-
- Morvan J, Lesbordes JL, Rollin PE, Mouden JC, Roux J. First fatal human case of Rift Valley fever in Madagascar. Trans R Soc Trop Med Hyg. 1992;86:320. - PubMed
MeSH terms
Substances
LinkOut - more resources
Full Text Sources
