Life-saving super-urgent liver transplantation with replacement of retrohepatic vena cava by dacron graft
- PMID: 20811479
- PMCID: PMC2926580
- DOI: 10.1155/2010/828326
Life-saving super-urgent liver transplantation with replacement of retrohepatic vena cava by dacron graft
Abstract
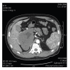
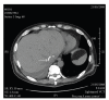
We describe a modified technique of side-to-side cavo-cavostomy by Dacron interposition prosthesis during a super urgent liver transplantation. A liver graft from a deceased donor was immediately requested on a top priority basis as a consequence of massive bleeding during extended left hepatectomy for a huge hepatic haemangioma arising from the caudate lobe. Veno-venous bypass was employed during anhepatic phase but it was disconnected due to severe fibrinolysis and hypothermia. A porto-caval shunt was performed and the inferior vena cava outflow was restored by a Dacron interposition prosthesis. A liver graft from a deceased donor was available 16 hours later. Due to the shortness of the vena cava of the donor liver graft, the removal of the Dacron graft was impossible and a modified side-to-side cavo-cavostomy between the Dacron interposition graft and the vena cava of the donor liver was than performed. Liver transplantation was uneventful and the patient is doing well 25 months after the surgical procedure. Although the use of synthetic vascular prosthesis should usually be discouraged during organ transplantation, its exceptional use during liver transplantation is possible with long-term good results.
Figures




References
-
- Fan J, Wu Z-Q, Tang Z-Y, et al. Complete resection of the caudate lobe of the liver with tumor: technique and experience. Hepato-Gastroenterology. 2001;48(39):808–811. - PubMed
-
- Hu J-X, Miao X-Y, Zhong D-W, Dai W-D, Liu W. Anterior approach for complete isolated caudate lobectomy. Hepato-Gastroenterology. 2005;52(66):1641–1644. - PubMed
-
- Itai Y, Teraoka T. Angiosarcoma of the liver mimicking cavernous hemangioma on dynamic CT. Journal of Computer Assisted Tomography. 1989;13(5):910–912. - PubMed
LinkOut - more resources
Full Text Sources