Skip to main page content
U.S. flag

An official website of the United States government

Dot gov

The .gov means it’s official.
Federal government websites often end in .gov or .mil. Before sharing sensitive information, make sure you’re on a federal government site.

Https

The site is secure.
The https:// ensures that you are connecting to the official website and that any information you provide is encrypted and transmitted securely.

Access keys NCBI Homepage MyNCBI Homepage Main Content Main Navigation
. 2010 Sep;5(9):1102-4.
doi: 10.4161/psb.5.9.12415. Epub 2010 Sep 1.

BROTHER OF FT AND TFL1 (BFT), a member of the FT/TFL1 family, shows distinct pattern of expression during the vegetative growth of Arabidopsis

Affiliations

BROTHER OF FT AND TFL1 (BFT), a member of the FT/TFL1 family, shows distinct pattern of expression during the vegetative growth of Arabidopsis

Kyung Sook Chung et al. Plant Signal Behav. 2010 Sep.

Abstract

Transition to the flowering stage is precisely controlled by a few classes of regulatory molecules. BROTHER OF FT AND TFL1 (BFT) is a member of FLOWERING LOCUS T (FT)/TERMINAL FLOWER 1 (TFL1) family, an important class of flower development regulators with unidentified biochemical function. BFT has a TFL1-like activity and plays a role in axillary inflorescence development. To elucidate the expression pattern of BFT, we analyzed the subcellular localization and conditional expression of BFT in this study. We generated 35S::BFT:GFP plants to investigate the subcellular localization of BFT protein. 35S::BFT:GFP plants showed late flowering, similarly as did 35S::BFT plants. BFT:GFP fusion protein was localized in the nucleus and the plasma membrane, which was different from the localization pattern of FT and TFL1. BFT expression was induced by abiotic stress conditions. ABA, drought, and osmotic stress treatments induced BFT expression, whereas cold, salt, and heat stress conditions did not, suggesting that BFT plays a role in regulating flowering time and inflorescence structure under drought conditions. The induction pattern of BFT was different from those of other FT/TFL1 family genes. Our studies indicated that BFT showed a distinct expression pattern from its homologous genes during the vegetative growth in Arabidopsis.

PubMed Disclaimer

Figures

Figure 1
Figure 1
Phenotype of 35S::BFT:GFP plants and the subcellular localization of BFT:GFP fusion protein. (A) Morphology of a 35S::BFT:GFP transgenic plant (right) and a wild-type Columbia plant (left). Inset showed a close-up view of the primary inflorescence of 35S::BFT:GFP plants. Note that overall phenotype of 35S::BFT:GFP plants is very similar to that of a strong line of 35S::BFT plants. (B) Number of nodes formed in the primary shoot of 35S::BFT:GFP transgenic plants. Results from different lines in the T1 generation are shown. CL, cauline leaf; RL, rosette leaf; WT, wild-type Columbia plants. (C) The subcellular localization of BFT in the leaf of 12-day-old 35S::BFT:GFP plants. Note that BFT:GFP fusion protein is detected in the nucleus (open arrowhead) and the plasma membrane (closed arrowhead). Scale bar: 20 µm.
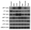
Figure 2
Figure 2
Induction of BFT expression revealed by semi-quantitative RT-PCR. For this experiment, wild-type Columbia plants were planted on half-strength Murashige and Skoog (MS) media and grown for 8 days under LD conditions. For abscisic acid (ABA) stress treatment, wild-type seedlings were placed in 100 µM ABA solution for 3 h. For cold treatment, the plants were placed under white light for 40 h in a cold room maintained at 4°C. Drought treatment was provided in a drying station as described previously. The seedlings were placed in 100 mM NaCl solution and 100 mM mannitol for 3 h for salt stress and osmotic stress treatments, respectively. For heat stress treatment, the seedlings were placed under white light for 1 h in a growth chamber maintained at 37°C. Expression patterns of the other FT/TFL1 family genes were also monitored. Numbers in parenthesis indicate the number of RT-PCR cycles. UBQ10 was used as an internal control.

Comment on

  • Yoo SJ, Chung KS, Jung SH, Yoo SY, Lee JS, Ahn JH. BROTHER OF FT AND TFL1 (BFT) has a TERMINAL FLOWER 1 (TFL1)-like activity and functions redundantly with TFL1 in inflorescence meristem development in Arabidopsis. Plant J. 2010 doi: 10.111/j.1365-313x.2010.04234.x. doi: 10.4161/psb.5.9.12415

References

    1. Abe M, Kobayashi Y, Yamamoto S, Daimon Y, Yamaguchi A, Ikeda Y, et al. FD, a bZIP protein mediating signals from the floral pathway integrator FT at the shoot apex. Science. 2005;309:1052–1056. - PubMed
    1. Ahn JH, Miller D, Winter VJ, Banfield MJ, Lee JH, Yoo SY, et al. A divergent external loop confers antagonistic activity on floral regulators FT and TFL1. EMBO J. 2006;25:605–614. - PMC - PubMed
    1. Bradley D, Ratcliffe O, Vincent C, Carpenter R, Coen E. Inflorescence commitment and architecture in Arabidopsis. Science. 1997;275:80–83. - PubMed
    1. Hanzawa Y, Money T, Bradley D. A single amino acid converts a repressor to an activator of flowering. Proc Natl Acad Sci USA. 2005;102:7748–7753. - PMC - PubMed
    1. Kardailsky I, Shukla VK, Ahn JH, Dagenais N, Christensen SK, Nguyen JT, et al. Activation tagging of the floral inducer FT. Science. 1999;286:1962–1965. - PubMed

Publication types

LinkOut - more resources