Automatic segmentation of seven retinal layers in SDOCT images congruent with expert manual segmentation
- PMID: 20940837
- PMCID: PMC3408910
- DOI: 10.1364/OE.18.019413
Automatic segmentation of seven retinal layers in SDOCT images congruent with expert manual segmentation
Abstract
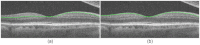
Segmentation of anatomical and pathological structures in ophthalmic images is crucial for the diagnosis and study of ocular diseases. However, manual segmentation is often a time-consuming and subjective process. This paper presents an automatic approach for segmenting retinal layers in Spectral Domain Optical Coherence Tomography images using graph theory and dynamic programming. Results show that this method accurately segments eight retinal layer boundaries in normal adult eyes more closely to an expert grader as compared to a second expert grader.
Figures
 
              
              
              
              
                
                
                 
              
              
              
              
                
                
                 
              
              
              
              
                
                
                 
              
              
              
              
                
                
                 
              
              
              
              
                
                
                 
              
              
              
              
                
                
                 
              
              
              
              
                
                
                 
              
              
              
              
                
                
                 
              
              
              
              
                
                
                 
              
              
              
              
                
                
                 
              
              
              
              
                
                
                 
              
              
              
              
                
                
                 
              
              
              
              
                
                
                 
              
              
              
              
                
                
                 
              
              
              
              
                
                
                 
              
              
              
              
                
                
                 
              
              
              
              
                
                
                References
- 
    - Schuman S. G., Koreishi A. F., Farsiu S., Jung S., Izatt J. A., Toth C. A., “Photoreceptor Layer Thinning over Drusen in Eyes with Age-Related Macular Degeneration Imaged In Vivo with Spectral-Domain Optical Coherence Tomography,” Ophthalmology 116, 488–496(2009). 10.1016/j.ophtha.2008.10.006 - DOI - PMC - PubMed
 
Publication types
MeSH terms
Grants and funding
LinkOut - more resources
- Full Text Sources
- Other Literature Sources
- Medical
 
        