Treatment of femoral neck fractures in elderly patients over 60 years of age - which is the ideal modality of primary joint replacement?
- PMID: 20961437
- PMCID: PMC2972258
- DOI: 10.1186/1754-9493-4-16
Treatment of femoral neck fractures in elderly patients over 60 years of age - which is the ideal modality of primary joint replacement?
Abstract
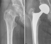
Background: Femoral neck fractures in the elderly are frequent, represent a great health care problem, and have a significant impact on health insurance costs. Reconstruction options using hip arthroplasty include unipolar or bipolar hemiarthroplasty (HA), and total hip arthroplasty (THA). The purpose of this review is to discuss the indications, limitations, and pitfalls of each of these techniques.
Methods: The Pubmed database was searched for all articles on femoral neck fracture and for the reconstruction options presented in this review using the search terms "femoral neck fracture", "unipolar hemiarthroplasty", "bipolar hemiarthroplasty", and "total hip arthroplasty". In addition, cross-referencing was used to cover articles eventually undetected by the respective search strategies. The resulting articles were then reviewed with regard to the different techniques, outcome and complications of the distinct reconstruction options.
Results: THA yields the best functional results in patients with displaced femoral neck fractures with complication rates comparable to HA. THA is beneficially implanted using an anterior approach exploiting the internervous plane between the tensor fasciae latae and the sartorius muscles allowing for immediate full weight-bearing. Based on our findings, bipolar hemiarthroplasty, similar to unipolar hemiarthroplasty, cannot restorate neither anatomical nor biomechanical features of the hip joint. Therefore, it can only be recommended as a second line of defense-procedure for patients with low functional demands and limited live expectancy.
Conclusions: THA is the treatment of choice for femoral neck fractures in patients older than 60 years. HA should only be implanted in patients with limited life expectancy.
Figures



References
-
- Miyamoto RG, Kaplan KM, Levine BR, Egol KA, Zuckerman JD. Surgical management of hip fractures: an evidence-based review of the literature. I: femoral neck fractures. J Am Acad Orthop Surg. 2008;16:596–607. - PubMed
-
- Macaulay W, Pagnotto MR, Iorio R, Mont MA, Saleh KJ. Displaced femoral neck fractures in the elderly: hemiarthroplasty versus total hip arthroplasty. J Am Acad Orthop Surg. 2006;14:287–293. - PubMed
-
- Zlowodzki M, Tornetta P, Haidukewych G, Hanson BP, Petrisor B, Swiontkowski MF, Femoral neck fractures: evidence versus beliefs about predictors of outcome. Orthopedics. 2009. p. 32.http://orthosupersite.com/view.asp?rID=38062 - PubMed
-
- Dai Z, Li Y, Jiang D. Meta-Analysis Comparing Arthroplasty with Internal Fixation for Displaced Femoral Neck Fracture in the Elderly. J Surg Res. 2009. in press . - PubMed
LinkOut - more resources
Full Text Sources