Primary gastric adenosquamous carcinoma in a Caucasian woman: a case report
- PMID: 21034475
- PMCID: PMC2984469
- DOI: 10.1186/1752-1947-4-351
Primary gastric adenosquamous carcinoma in a Caucasian woman: a case report
Abstract
Introduction: Most gastric tumors are adenocarcinomas. Primary gastric adenosquamous carcinoma is a rare malignancy, mostly associated with Asian populations. It constitutes less than one percent of all gastric carcinomas and its clinical presentation is the same as adenocarcinoma. It occurs more frequently in the proximal stomach, usually presents with muscular layer invasion and tends to be found in advanced stages at diagnosis, with a worse prognosis than adenocarcinoma.
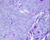
Case presentation: We report the case of an 84-year-old Caucasian woman with an adenosquamous carcinoma extending to her serosa with lymphatic and venous invasion (T3N1M1). Nodal and hepatic metastasis presented with both cellular types, with dominance of the squamous component.
Conclusions: Adenosquamous gastric cancer is a rare diagnosis in western populations. We present the case of a woman with a very aggressive adenosquamous carcinoma with a preponderance of squamous cell component in the metastasis. Several origins have been proposed for this kind of carcinoma; either evolution from adenocarcinoma de-differentiation or stem cell origin might be possible. The hypothesis that a particular histological type of gastric cancer may arise from stem cells might be a field of research in oncological disease of the stomach.
Figures
 
              
              
              
              
                
                
                 
              
              
              
              
                
                
                 
              
              
              
              
                
                
                 
              
              
              
              
                
                
                 
              
              
              
              
                
                
                 
              
              
              
              
                
                
                References
- 
    - Jalif AR, López OJ, Díaz de Battaglini SM, Bur EG. Gastric adenoacanthoma. Report of a case and review of the literature. Acta Gastroenterol Latinoam. 1984;14:79–84. - PubMed
 
- 
    - Tsukino H, Kusumoto S, Nagamachi S, Watanabe K, Koga Y, Kataoka H. A case of primary adenosquamous carcinoma of the stomach showing Borrmann 4 type. Rinsho Hoshasen. 1990;35:649–652. - PubMed
 
- 
    - Namatame K, Ookubo M, Suzuki K, Sagawa H, Nagashima T, Kataba Y, Maruyama U, Watanabe H. A clinicopathological study of five cases of adenosquamous carcinoma of the stomach. Gan No Rinsho. 1986;32:170–175. - PubMed
 
- 
    - Nishiwaki H, Iriyama K, Mori H, Teranishi T, Yano H, Suzuki H. Adenosquamous carcinoma of the stomach. Gan No Rinsho. 1985;31:1802–1804. - PubMed
 
LinkOut - more resources
- Full Text Sources
 
        