Unique features of polycythemia observed on plain non contrast CT scan of head
- PMID: 21042503
- PMCID: PMC2964806
- DOI: 10.4103/1817-1745.66679
Unique features of polycythemia observed on plain non contrast CT scan of head
Abstract
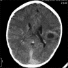
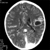
We present two cases of polycythemia secondary to a congenital cardiac anomaly presenting with acute neurological complications showing hyperdense venous sinuses and cerebral vasculature in association with cerebral abscess.
Keywords: Hyperdense cerebral vasculature; Polycythemia.
Conflict of interest statement
Figures




References
-
- Rodallec MH, Krainik A, Feydy A, Hélias A, Colombani JM, Jullès MC, et al. Cerebral Venous Thrombosis and Multidetector CT Angiography: Tips and Tricks. Radiographics. 2006;26:S5–18. - PubMed