Spontaneous Cholecystocutaneous Fistula
- PMID: 21060700
- PMCID: PMC2974999
- DOI: 10.1159/000320687
Spontaneous Cholecystocutaneous Fistula
Abstract
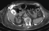
Spontaneous cholecystocutaneous fistula is a rare complication of chronic calculous cholecystitis because currently gallstones are diagnosed and treated at an early stage. This occurrence is possible even if it seems actually to be rare. We report the case of a 90-year-old woman admitted to our hospital with diarrhea of 4 days duration and low-grade fever (37.5°C). On physical examination, she had a 10 × 10 cm erythematous swelling and discomfort of the upper right abdominal quadrant; the skin and mucosae were dry. Transabdominal ultrasonography showed a gallbladder with abnormalities of the wall, a single gallstone impacted in the infundibulum and a fluid collection with irregular margins containing fluctuating echoes adjacent to the anterior abdominal wall of the upper right abdominal quadrant. A diagnosis of spontaneous cholecystocutaneous fistula with an abdominal purulent collection was reached. Due to the high anesthesiological risk of the patient, conservative management was carried out with fluids, broad-spectrum antibiotic, albumin and calcium supplementation. Computed tomography drainage of the purulent collection was also carried out. Both clinical and laboratory parameters substantially improved during the following two days, but on the third day of hospitalization, the patient died from a sudden arrhythmic event.
Figures




References
-
- Yüceyar S, Ertürk S, Karabiçak I, Onur E, Aydogan F. Spontaneous cholecystocutaneous fistula presenting with an abscess containing multiple gallstones: a case report. Mt Sinai J Med. 2005;72:402–404. - PubMed
-
- Urban CA, Urban LABD, Lima RS, Bleggi-Torres LF. Spontaneous combined internal and external biliary fistulae in association with gallstones and gliomatosis of the gallbladder. Rev Bras Cancerologia. 2001;47:273–276.
-
- Davies MG, Tadros E, Gaine S, McEntee GP, Gorey TF, Hennessy TP. Combined internal and external biliary fistulae treated by percutaneous cholecystlithotomy. Br J Surg. 1989;76:1258. - PubMed
Publication types
LinkOut - more resources
Full Text Sources