Skip to main page content
U.S. flag

An official website of the United States government

Dot gov

The .gov means it’s official.
Federal government websites often end in .gov or .mil. Before sharing sensitive information, make sure you’re on a federal government site.

Https

The site is secure.
The https:// ensures that you are connecting to the official website and that any information you provide is encrypted and transmitted securely.

Access keys NCBI Homepage MyNCBI Homepage Main Content Main Navigation
Case Reports
. 2010 Apr 11:5:2.
doi: 10.4314/pamj.v5i1.56196.

[Ischemic stroke revealing celiac disease]

[Article in French]
Affiliations
Case Reports

[Ischemic stroke revealing celiac disease]

[Article in French]
Belfkih Rachid et al. Pan Afr Med J. .

Abstract

La maladie cœliaque (MC) de l’adulte est une pathologie fréquente dont la présentation clinique est polymorphe. Les manifestations extradigestives sont multiples et rendent le diagnostic difficile lorsqu’elles sont isolées. Nous rapportons le cas d’un patient de 52 ans qui présentait un accident vasculaire cérébral ischémique (AVCI). Le bilan étiologique objectivait une hyperhomocystéinémie avec une carence en vitamine B12. La biopsie duodénale était en faveur d’une maladie coeliaque. Les anticorps antigliadines étaient positifs. Le patient fût mis sous régime sans gluten, antiaggrégant plaquettaire et hydroxocobalamine avec une évolution favorable.

PubMed Disclaimer

Figures

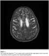
Figure 1:
Figure 1:
IRM cérébrale séquence T2, en coupe axiale montrant des hypersignaux des couronnes rayonnantes droite et gauche avec leucoencéphalopathie.
Figure 2:
Figure 2:
IRM cérébrale, séquence T2, en coupe sagittale montrant une lacune protubérantielle basse d’allure ancienne.

References

    1. El Moutawakil B. et al. Maladie coeliaque et accidents vasculaires cérébraux ischémiques. Rev Neurol. 2009 - PubMed
    1. Lepers S, Couignoux S, Colombel JF, Dubucquoi S. La maladie coeliaque de l’adulte: aspects nouveaux. Rev Med Interne. 2004;25:22–34. - PubMed
    1. David Dewar, Stephen P, Schwab S. Pereira, Paul J Ciclitira.The pathogenesis of coeliac disease. Int J Biochem Cell Biol. 2004 Jan;36(1):17–24. - PubMed
    1. Stepniak D, Koning F. Celiac disease – sandwiched between innate and adaptive immunity. Hum Immunol. 2006 Jun;67(6):406–8. - PubMed
    1. Sacco RL, Adams R, Albers G, Alberts MJ, Benavente O, Furie K. et al. Guidelines for prevention of stroke in patients with ischemic stroke or transient ischemic attack: a statement for healthcare professionals from the American Heart Association/American Stroke Association Council on Stroke: cosponsored by the Councilon Cardiovascular Radiology and Intervention: the American Academy of Neurology af?rms the value of this guideline. Stroke. 2006;37:577, 617. - PubMed

Publication types

MeSH terms