Retroperitoneal lipoma arising from the urinary bladder
- PMID: 21139884
- PMCID: PMC2994430
- DOI: 10.4081/rt.2009.e13
Retroperitoneal lipoma arising from the urinary bladder
Abstract
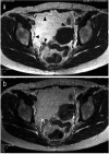
Retroperitoneal benign lipomas are extremely rare and represent about 2.9% of all primary retroperitoneal tumors. About 80% of the tumors in the retroperitoneal cavities are malignant neoplasms. We experienced a case of a retroperitoneal lipoma simulating an ovarian mature cystic teratoma. A diagnosis was correctly made by magnetic resonance imaging (MRI) prior to surgery, and a total tumorectomy was performed. The retroperitoneal lipoma was recognized to have arisen from the urinary bladder. Histological sections revealed a tumor consisting of typical adipose cells without atypia. These types of lipomas should be carefully followed-up because they often recur and undergo malignant transformations.
Keywords: lipoma; magnetic resonance imaging.; ovarian mature cystic teratoma; retroperitoneum; urinary bladder.
Conflict of interest statement
Conflict of interest: the authors reported no potential conflict of interests.
Figures
 
              
              
              
              
                
                
                 
              
              
              
              
                
                
                 
              
              
              
              
                
                
                References
- 
    - Armstrong JR, Cohen I. Primary malignant retroperitoneal tumors. Am J Surg. 1965;110:937–43. - PubMed
 
- 
    - Pai MR, Naik R, Raughuveer CV. Primary retroperitoneal tumors: a 25 year study. Indian J Med Sci. 1995;49:139–41. - PubMed
 
- 
    - Cavazza A, Giunta A, Pedrazzoli C, et al. Extrarenal retroperitoneal angiomyolipoma: description of a case and review of the literature. Pathologica. 2001;91:44–9. - PubMed
 
- 
    - Moriki T, Ohtsuki Y, Takahashi T, et al. Lipoma-like tumor mass probably arising in the retroperitoneal heterotopic pancreas: A previously undescribed lesion. Pathol Int. 2004;54:527–31. - PubMed
 
- 
    - Hull WB, Blumenfeld ML, Jacques D. Large paravaginal pelvic lipoma: A case report. J Reprod Med. 1999;44:636–8. - PubMed
 
Publication types
LinkOut - more resources
- Full Text Sources
 
        