Malignant peritoneal mesothelioma
- PMID: 21160794
- PMCID: PMC2999110
- DOI: 10.4240/wjgs.v1.i1.38
Malignant peritoneal mesothelioma
Abstract
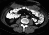
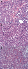
Malignant mesothelioma is a highly aggressive neoplasm. The incidence of malignant mesothelioma is increasing worldwide. Diffuse malignant peritoneal mesothelioma (DMPM) represents one-fourth of all mesotheliomas. Association of asbestos exposure with DMPM has been observed, especially in males. The great majority of patients present with abdominal pain and distension, caused by accumulation of tumors and ascitic fluid. In the past, DMPM was considered a pre-terminal condition; therefore attracted little attention. Patients invariably died from their disease within a year. Recently, several prospective trials have demonstrated a median survival of 40 to 90 mo and 5-year survival of 30% to 60% after combined treatment using cytoreductive surgery and perioperative intraperitoneal chemotherapy. This remarkable improvement in survival has prompted new search into the medical science related to DMPM, a disease previously ignored as uninteresting. This review article focuses on the key advances in the epidemiology, diagnosis, staging, treatments and prognosis of DMPM that have occurred in the past decade.
Keywords: Asbestos; Cisplatin; Cytoreductive surgery; Doxorubicin; Intraperitoneal chemotherapy; Mesothelin; Pemetrexed; Peritoneal mesothelioma; Peritonectomy.
Figures
 
              
              
              
              
                
                
                 
              
              
              
              
                
                
                 
              
              
              
              
                
                
                 
              
              
              
              
                
                
                References
- 
    - Battifora H, McCaughey WTE. Tumors of the Serosal Membranes. Washington DC: Armed Forces Institute of Pathology; 1994.
 
- 
    - Robinson BW, Lake RA. Advances in malignant mesothelioma. N Engl J Med. 2005;353:1591–1603. - PubMed
 
- 
    - Miller J, Wynn H. A malignant tumour arising from the endothelium of the peritoneum, and producing a mucoid ascitic fluid. J Pathol Bacteriol. 2005;12:267–268.
 
- 
    - Chailleux E, Dabouis G, Pioche D, de Lajartre M, de Lajartre AY, Rembeaux A, Germaud P. Prognostic factors in diffuse malignant pleural mesothelioma. A study of 167 patients. Chest. 1988;93:159–162. - PubMed
 
- 
    - Antman K, Shemin R, Ryan L, Klegar K, Osteen R, Herman T, Lederman G, Corson J. Malignant mesothelioma: prognostic variables in a registry of 180 patients, the Dana-Farber Cancer Institute and Brigham and Women's Hospital experience over two decades, 1965-1985. J Clin Oncol. 1988;6:147–153. - PubMed
 
LinkOut - more resources
- Full Text Sources
- Miscellaneous
 
        