Longitudinal evaluation of the efficacy of heat treatment procedures against Legionella spp. in hospital water systems by using a flow cytometric assay
- PMID: 21183641
- PMCID: PMC3067238
- DOI: 10.1128/AEM.02225-10
Longitudinal evaluation of the efficacy of heat treatment procedures against Legionella spp. in hospital water systems by using a flow cytometric assay
Abstract
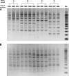
Legionella spp. are frequently isolated in hospital water systems. Heat shock (30 min at 70°C) is recommended by the World Health Organization to control its multiplication. The aim of the study was to evaluate retrospectively the efficacy of heat treatments by using a flow cytometry assay (FCA) able to identify viable but nonculturable (VBNC) cells. The study included Legionella strains (L. pneumophila [3 clusters] and L. anisa [1 cluster]) isolated from four hot water circuits of different hospital buildings in Saint-Etienne, France, during a 20-year prospective surveillance. The strains recovered from the different circuits were not epidemiologically related, but the strains isolated within a same circuit over time exhibited an identical genotypic profile. After an in vitro treatment of 30 min at 70°C, the mean percentage of viable cells and VBNC cells varied from 4.6% to 71.7%. The in vitro differences in heat sensitivity were in agreement with the observed efficacy of preventive and corrective heating measures used to control water contamination. These results suggest that Legionella strains can become heat resistant after heating treatments for a long time and that flow cytometry could be helpful to check the efficacy of heat treatments on Legionella spp. and to optimize the decontamination processes applied to water systems for the control of Legionella proliferation.
Figures
 
              
              
              
              
                
                
                 
              
              
              
              
                
                
                 
              
              
              
              
                
                
                 
              
              
              
              
                
                
                 
              
              
              
              
                
                
                References
- 
    - Allegheny County Health Department. 1997. Approaches to prevention and control of Legionella infection in Allegheny County health care facilities, 2nd ed. Allegheny County Health Department, Pittsburgh, PA.
 
- 
    - Association Française de Normalisation. 2003. Water quality—detection and enumeration of Legionella spp and Legionella pneumophila. Method by direct culture inoculation and after concentration by membrane filtration or centrifugation, NF T90-431. Association Française de Normalisation, Paris, France.
 
- 
    - Atlas, R. M. 1999. Legionella: from environmental habitats to disease pathology, detection and control. Environ. Microbiol. 1:283-293. - PubMed
 
- 
    - Barer, M. R., and C. R. Harwood. 1999. Bacterial viability and culturability. Adv. Microb. Physiol. 41:93-137. - PubMed
 
Publication types
MeSH terms
Substances
LinkOut - more resources
- Full Text Sources
- Medical
- Miscellaneous
 
        