Retroperitoneal germ cell tumor diagnosed by endoscopic ultrasound-guided fine needle aspiration
- PMID: 21191538
- PMCID: PMC3011098
- DOI: 10.4251/wjgo.v2.i12.443
Retroperitoneal germ cell tumor diagnosed by endoscopic ultrasound-guided fine needle aspiration
Abstract
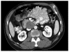
Isolated extragonadal germ cell tumors can be primary in nature or metastatic from a burned out testicular cancer. Accurate diagnosis is critical as appropriate therapy can be highly curative. We present the case of an isolated extragonadal germ cell tumor in the retroperitoneum diagnosed by endoscopic ultrasound-guided fine needle aspiration. This case underscores the importance of considering germ cell tumors in the differential diagnosis of an unexplained retroperitoneal mass, particularly since immunophenotypic staining may be necessary to establish the diagnosis.
Keywords: Endoscopic ultrasound; Fine needle aspiration; Germ cell tumor.
Figures



References
-
- Collins DH, Pugh RC. Classification and frequency of testicular tumours. Br J Urol. 1964;36:SUPPL: 1–11. - PubMed
-
- Richie JP. Neoplasms of the testis. In: Walsh PC, Retik AB, Stamey TA, Vaughan ED Jr, editors. Campbell’s urology. 6th ed. Philadelphia: W. B. Saunders Co; 1992. pp. 1222–1263.
-
- Bokemeyer C, Nichols CR, Droz JP, Schmoll HJ, Horwich A, Gerl A, Fossa SD, Beyer J, Pont J, Kanz L, et al. Extragonadal germ cell tumors of the mediastinum and retroperitoneum: results from an international analysis. J Clin Oncol. 2002;20:1864–1873. - PubMed
-
- Bentz JS, Kochman ML, Faigel DO, Ginsberg GG, Smith DB, Gupta PK. Endoscopic ultrasound-guided real-time fine-needle aspiration: clinicopathologic features of 60 patients. Diagn Cytopathol. 1998;18:98–109. - PubMed
LinkOut - more resources
Full Text Sources