Unusual manifestations of primary Glioblastoma Multiforme: A report of three cases
- PMID: 21206896
- PMCID: PMC3011111
- DOI: 10.4103/2152-7806.74146
Unusual manifestations of primary Glioblastoma Multiforme: A report of three cases
Abstract
Background: Brain tumors, especially high-grade gliomas, can present with focal or generalized signs due to mass effect, parenchymal infiltration and destruction. In general, at the time of diagnosis, tumors could cause common neurological symptoms and major clinical signs depending on their localization. In rare instances, brain tumors colud be manifested with unusual symptoms.
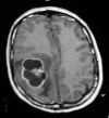
Case description: WE DESCRIBE THREE CASES PRESENTING WITH UNUSUAL CLINICAL SYMPTOMS: ulnar neuropathy, vertigo and syncope attacks. Microscopic total tumor excision was done and histopathological analysis revealed that these tumors were glioblastoma multiforme. Both external beam radiotherapy and chemotherapy were given as adjuvant treatments.
Conclusions: Physicians should keep brain tumors in mind in the case of patients who present with atypical symptoms such as those reported here. Brain imaging should be performed over a prolonged period following presentation if the patient's symptoms remain unresolved after adequate treatment.
Keywords: Astrocytoma; brain tumor; glioblastoma multiforme; presentation; symptom.
Figures
 
              
              
              
              
                
                
                 
              
              
              
              
                
                
                 
              
              
              
              
                
                
                 
              
              
              
              
                
                
                References
- 
    - Bucker JC, Brown PD, O’Neill BP, Meyer FB, Wetmore CJ, Uhm JH. Central nervous system tumors. Mayo Clin Proc. 2007;82:1271–86. - PubMed
 
- 
    - Burns JM, Swerdlow RH. Right orbitofrontal tumor with pedophilia symptom and constructional apraxia sign. Arch Neurol. 2003;60:437–40. - PubMed
 
- 
    - Chandana SR, Movva S, Arora M, Singh T. Primary brain tumors in adults. Am Fam Physician. 2008;77:1423–30. - PubMed
 
- 
    - Chang SM, Parney IF, Huang W, Anderson FA, Jr, Asher AL, Bernstein M, et al. Patterns of care for adults with newly diagnosed malignant glioma. JAMA. 2005;293:557–64. - PubMed
 
- 
    - Department of Health and Human Services, Centers for Disease Control and Prevention (CDC), National Program of Cancer Registries (NPCR) Central brain Tumor Registry of the United States. Available from: http://www.cbtrus.org/reports//2005-2006/2006 report.pdf [Last accessed on 2007 Aug 21]
 
Publication types
LinkOut - more resources
- Full Text Sources
- Other Literature Sources
 
        