Solitary fibrous tumor
- PMID: 21234256
- PMCID: PMC3019599
- DOI: 10.4081/rt.2010.e64
Solitary fibrous tumor
Abstract
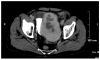
Solitary fibrous tumor (SFT) is a rare mesenchymal neoplasm which may be found everywhere in the body. It is now distinguished into two forms, pleural and extrapleural, which morphologically resemble each other. Abdominal localizations are quite rare, with 10 cases only reported in bladder; rarely they can be source of paraneoplastic syndromes (i.e., hypoglycemia secondary to insulin-like growth factor). In April 2006 a 74-year-old white male presented with chills, diaphoresis and acute abdominal pain with hematuria. At admission in emergency he underwent an abdominal Xray (no pathological findings) and an ultrasound examination of the kidneys and urinary tract, which revealed a pelvic hyperechogenic neoformation measuring approximately 10×8×7 cm, compressing the bladder. Blood chemistry at admission revealed only a mild neutrophilic leucocytosis (WBC 16600, N 80%, L 11%), elevated fibrinogen and ESR, and hypoglycemia (38 mg/dL). Macro scopic hematuria was evident, while urinocolture was negative. Contrast enhanced CT scan of the abdomen and pelvic region revealed a large round neoformation dislocating the bladder, with an evident contrast-enhanced periphery and a central necrotic area. Continuous infusion of glucose 5% solution was necessary in order to maintain blood glucose levels above 50 mg/dL. The patient underwent complete surgical resection of an ovoidal mass coated by adipose tissue, with well delimited margins; histological findings were consistent with solitary fibrous tumor (SFT). Hypoglycemia resolved completely with removal of the growth. In this case report we describe a SFT growing in the bladder, a quite rare localization, which presented a unique hypoglycemia. In contrast to the majority of cases reported in the literature, the behavior of this SFT was not aggressive, and, since the patient is still alive, surgical resection was considered conclusive.
Keywords: rare tumors.; solitary fibrous tumor.
Conflict of interest statement
Conflict of interest: the authors report no conflicts of interest.
Figures
References
-
- Klemperer P, Rabin CB. Primary neoplasms of the pleura. Arch Pathol (Chic) 1931;11:385–412.
-
- Hanau CA, Miettinen M. Solitary fibrous tumor: histological and immunohistochemical spectrum of benign and malignant variants presenting at different sites. Hum Pathol. 1995;26:440–9. - PubMed
-
- Hasegawa T, Matsuno Y, Shimoda T. Extrathoracic solitary fibrous tumors: their histological variability and potentially aggressive behavior. Hum Pathol. 1999;30:1464–73. - PubMed
-
- Gold JS, Antonescu CR, Hajdu C, et al. Clinicopathologic correlates of solitary fibrous tumors. Cancer. 2002;94:1057–68. - PubMed
Publication types
LinkOut - more resources
Full Text Sources
Miscellaneous
