Skip to main page content
U.S. flag

An official website of the United States government

Dot gov

The .gov means it’s official.
Federal government websites often end in .gov or .mil. Before sharing sensitive information, make sure you’re on a federal government site.

Https

The site is secure.
The https:// ensures that you are connecting to the official website and that any information you provide is encrypted and transmitted securely.

Access keys NCBI Homepage MyNCBI Homepage Main Content Main Navigation
Case Reports
. 2011 Mar;20(119):56-9.
doi: 10.1183/09059180.00005010.

A 69-year-old female with multiple, bilateral pulmonary nodules

Case Reports

A 69-year-old female with multiple, bilateral pulmonary nodules

A Caminati et al. Eur Respir Rev. 2011 Mar.
No abstract available

PubMed Disclaimer

Conflict of interest statement

Statement of Interest

None declared.

Figures

Figure 1.
Figure 1.
Chest computed tomography scan showing multiple, bilateral, well-circumscribed pulmonary nodules.
Figure 2.
Figure 2.
Another chest computed tomography scan showing multiple, bilateral, well-circumscribed pulmonary nodules.
Figure 3.
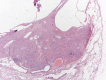
Figure 3.
Low-power photomicrograph (haematoxylin–eosin stain) of a lung biopsy showing a well-circumscribed nodule; partially solid and partially cystic (upper part). Magnification: 20x.
Figure 4.
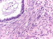
Figure 4.
High-power photomicrograph (haematoxylin–eosin stain) of a pulmonary nodule in lung biopsy showing bland appearing smooth muscle proliferation with entrapped bronchiolar epithelium. Magnification: 200x.

References

    1. Maredia R, Snyder BJ, Harvey LAC, et al. . Benign metastasizing leiomyoma in the lung. Radiographics 1998; 18: 779–782. - PubMed
    1. Funakoshi Y, Sawabata N, Takeda S, et al. . Pulmonary benign metastasizing leiomyoma from the uterus in a postmenopausal woman: report of a case. Surg Today 2004; 34: 55–57. - PubMed
    1. Rao AV, Wilson J, Sylvester K. Pulmonary benign metastasizing leiomyoma following hysterectomy: a clinicopathologic correlation. J Thorac Oncol 2008; 3: 674–676. - PubMed
    1. Moon H, Park SJ, Lee HB, et al. . Pulmonary benign metastasizing leiomyoma in a postmenopausal woman. Am J Med Sci 2009; 338: 72–74. - PubMed
    1. Abramson S, Gilkeson RC, Goldstein JD, et al. . Benign metastasizing leiomyoma: clinical, imaging, and pathologic correlation. Am J Roentgenol 2001; 176: 1409–1413. - PubMed

MeSH terms