Skip to main page content
U.S. flag

An official website of the United States government

Dot gov

The .gov means it’s official.
Federal government websites often end in .gov or .mil. Before sharing sensitive information, make sure you’re on a federal government site.

Https

The site is secure.
The https:// ensures that you are connecting to the official website and that any information you provide is encrypted and transmitted securely.

Access keys NCBI Homepage MyNCBI Homepage Main Content Main Navigation
Review
. 2011 Dec;32(11):1978-85.
doi: 10.3174/ajnr.A2397. Epub 2011 Mar 10.

Pseudoprogression and pseudoresponse: imaging challenges in the assessment of posttreatment glioma

Affiliations
Review

Pseudoprogression and pseudoresponse: imaging challenges in the assessment of posttreatment glioma

L C Hygino da Cruz Jr et al. AJNR Am J Neuroradiol. 2011 Dec.

Abstract

The current standard of care for newly diagnosed cases of high-grade glioma is surgical resection followed by RT with concurrent chemotherapy. The most widely used criteria for assessing treatment response are based on a 2D measurement of the enhancing area on MR imaging known as the Macdonald Criteria. Recently, nontumoral increases (pseudoprogression) and decreases (pseudoresponse) in enhancement have been found, and these can confuse outcome evaluation. Here we review pseudoprogression and pseudoresponse and describe how better understanding of these phenomena can aid interpretation.

PubMed Disclaimer

Figures

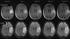
Fig 1.
Fig 1.
Pseudoprogression. A 59-year-old man with GBM. An MR image obtained 1 month after RT-TMZ demonstrates an expansion of the right temporal lesion. Reductions in both the enhancing portion and the surrounding abnormal hyperintense area in the T2-weighted imaging were seen in the follow-up MR imaging examinations
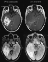
Fig 2.
Fig 2.
Pseudoprogression. A 63-year-old man with GBM. A follow-up MR imaging examination performed 7 months after RT-TMZ demonstrates increased lesion size. The histopathology samples (not shown) demonstrated a mixed tissue with treatment-related changes, associated with a few areas of viable tumor cells.
Fig 3.
Fig 3.
Pseudoprogression. A 25-year-old man with a low-grade glioma in the left aspect of the pons (A, arrow) was treated with only RT. PET-MR imaging (B) showed hypermetabolism in the enhancing portion of the lesion (C). An MR imaging examination performed 1 month later (D) shows a reduction in the enhancing portion of lesion.
Fig 4.
Fig 4.
Pseudoresponse is characterized by a marked decreased in the enhancing portion of the lesion some months after initiation of treatment. However, in some such cases, the FLAIR sequence shows a clear expansion of the lesion.
Fig 5.
Fig 5.
Pseudoresponse. A 47-year-old man with GBM. A reduction of the enhancing portion of the lesion is observed 1 day after initiation of cediranib treatment. Four weeks later, besides a continuing reduction in the enhancing portion, an expansion is observed in the FLAIR images. Expansions in both the enhancing area and abnormal hyperintense areas consistent with tumor progression were observed subsequently.

References

    1. Stupp R, Mason WP, van den Bent MJ, et al. . Radiotheraphy plus concomitant and adjuvant temozolomide for glioblastoma. N Engl J Med 2005;352:987–96 - PubMed
    1. Macdonald DR, Cascino T, Schold SJ, et al. . Response criteria for phase II studies of supratentorial malignant glioma. J Clin Oncol 1990;8:1277–80 - PubMed
    1. Wen PY, Macdonald DR, Reardon DA, et al. . Updated response assessment criteria for high-grade gliomas: response assessment in neuro-oncology working group. J Clin Oncol 2010;28:1963–72 - PubMed
    1. Sorensen AG, Batchelor TT, Wen PY, et al. . Response criteria for glioma. Nat Clin Pract Oncol 2008;5:634–44 - PMC - PubMed
    1. Brandsma D, van den Bent MJ. Pseudoprogression and pseudoresponse in the treatment of gliomas. Curr Opin Neurol 2009;22:633–38 - PubMed