Hughes-Stovin syndrome
- PMID: 21489283
- PMCID: PMC3082226
- DOI: 10.1186/1750-1172-6-15
Hughes-Stovin syndrome
Abstract
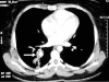
Hughes-Stovin Syndrome (HSS) is a very rare clinical disorder characterized by thrombophlebitis and multiple pulmonary and/or bronchial aneurysms. Less than 40 published cases of HSS have been described in English medical literature so far. The exact etiology and pathogenesis of HSS is unknown; possible causes include infections and angiodysplasia. HSS has also been considered as a variant of Behcet's disease (BD). Patients with HSS usually present with cough, dyspnea, fever, chest pain and haemoptysis. The management of HSS can either be medical or surgical. Medical management includes the use of steroids and cytotoxic agents. Cyclophosphamide, in particular, is a favored therapeutic agent in this regard. Antibiotics have no proven role in HSS while anticoagulants and thombolytic agents are generally contraindicated due to an increased risk of fatal hemorrhage. However, their use may be considered with great care under special circumstances, for instance, intracardiac thrombi or massive pulmonary embolism. For cases of massive hemoptysis due to large pulmonary aneurysms or those with lesions confined to one segment or one lung, lobectomy or pneumectomy can be carried out. However, surgical risks merit serious consideration and must be discussed with the patient. Transcatheter arterial embolization has emerged as a less invasive alternative to surgery in selected cases of HSS. Overall, patients with HSS have a poor prognosis and aneurysmal rupture is the leading cause of death. However, early diagnosis and timely intervention is crucial in improving the prognosis. There is a need to clearly elucidate the genetic, etiologic and pathologic basis for HSS in the future. Although most of the evidence put forward to refute the role of an infectious agent in the etiology and pathogenesis of HSS is based on negative blood and other body fluid cultures, more robust objective assessment is needed through the use of electron microscopy or 16 sRNA studies. The development of better therapeutic agents is also needed to address and prevent the serious consequences arising from pulmonary arterial aneurysms seen in BD and HSS. Also, the issue of anticoagulation in these patients is challenging and requires further deliberation.
Figures





References
-
- Kopp WL, Green RA. Pulmonary artery aneurysms with recurrent thrombophlebitis: the "Hughes-Stovin syndrome". Ann Intern Med. 1962;56:105–14. - PubMed
-
- Reimold WV, Emmrich J, Harmjanz D, Kochsiek K. Multiple aneurysms of the pulmonary artery following recurrent septic pulmonary embolism (Hughes-Stovin syndrome): report of 1 case. Arch Klin Med. 1968;215:1–18. - PubMed
-
- Yazici H, Esen F. Mortality in Behçet's syndrome. Clin Exp Rheumatol. 2008;26:S138–S140. - PubMed
Publication types
MeSH terms
Substances
LinkOut - more resources
Full Text Sources
Medical