Expression of MAGE-A and NY-ESO-1 cancer/testis antigens in medullary breast cancer: retrospective immunohistochemical study
- PMID: 21495200
- PMCID: PMC3081216
- DOI: 10.3325/cmj.2011.52.171
Expression of MAGE-A and NY-ESO-1 cancer/testis antigens in medullary breast cancer: retrospective immunohistochemical study
Abstract
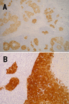
Aim: To immunohistochemically evaluate the expression of MAGE-A1, MAGE-A, and NY-ESO-1 cancer/testis (C/T) tumor antigens in medullary breast cancer (MBC) tumor samples and to analyze it in relation to the clinicopathological features.
Methods: This retrospective study included samples from 49 patients: 40 with typical MBC and 9 with atypical MBC. Tumor specimens were obtained from patients operated on in the University Hospital for Tumors and the Sisters of Mercy University Hospital, Zagreb, Croatia, from 1999 to 2005. Standard immunohistochemistry was used on archival paraffin-embedded MBC tissues.
Results: MAGE-A1, MAGE-A, and NY-ESO-1 antigens were expressed in 33% (16/49), 33% (16/49), and 22% (11/49) of patients, respectively. No difference between the groups with and without C/T tumor antigen expression in age at diagnosis, tumor size, axillary lymph node metastasis, adjuvant therapy, and HER-2 expression was identified. Significantly more patients died in the MAGE-A-positive group than in the MAGE-A-negative group (P=0.010), whereas a borderline significance was found between MAGE-A1-positive and the MAGE-A1-negative group (P=0.079) and between NY-ESO-1-positive and NY-ESO-1-negative group (P=0.117). Overall survival, as evaluated by the Kaplan-Meier curves, was lower in MAGE-A1- (P=0.031), MAGE-A- (P=0.004), NY-ESO-1-positive groups (P=0.077).
Conclusion: Expression of C/T antigens may represent a marker of potential prognostic relevance in MBC.
Figures


References
Publication types
MeSH terms
Substances
LinkOut - more resources
Full Text Sources
Other Literature Sources
Medical
Research Materials
Miscellaneous