Septal agenesis and lissencephaly with colpocephaly presenting as the 'Crown Sign'
- PMID: 21559156
- PMCID: PMC3087987
- DOI: 10.4103/1817-1745.76106
Septal agenesis and lissencephaly with colpocephaly presenting as the 'Crown Sign'
Abstract
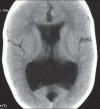
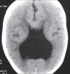
Developmental malformations of the cortex in neuronal migration disorders result in constellation of findings on radiological scanning. Isolated defects are common but sometimes they occur in varying degrees of combination giving a unique appearance on the imaging studies. We describe a case of neuronal migration disorder in which the computed tomography scan showed the presence of lissencephaly, colpocephaly. and Septal agenesis. These findings make the ventricular system appear in shape of a crown, which we refer to as "CROWN SIGN", first described in neurosurgical literature..
Keywords: colpocephaly; crown sign; lissencephaly; septal agenesis.
Conflict of interest statement
Figures




References
-
- Hayward JC, Titelbaum DS, Clancy RR, Zimmerman RA. Lissencephaly-pachygyria associated with congenital cytomegalovirus infection. J Child Neurol. 1991;6:109–14. - PubMed
-
- Pavone L, Rizzo R, Dobyns WB. Clinical manifestations and evaluation of isolated lissencephaly. Childs Nerv Syst. 1993;9:387–90. - PubMed
-
- Verloes A, Elmaleh M, Gonzales M, Laquerriere A, Gressens P. Genetic and clinical aspects of lissencephaly. Rev Neurol (Paris) 2007;163:533–47. - PubMed
-
- Williams JP, Joslyn JN. Lissencephaly: computed tomographic diagnosis. J Comput Tomogr. 1983;7:141–4. - PubMed