Skip to main page content
U.S. flag

An official website of the United States government

Dot gov

The .gov means it’s official.
Federal government websites often end in .gov or .mil. Before sharing sensitive information, make sure you’re on a federal government site.

Https

The site is secure.
The https:// ensures that you are connecting to the official website and that any information you provide is encrypted and transmitted securely.

Access keys NCBI Homepage MyNCBI Homepage Main Content Main Navigation
. 2011 Apr 13:5:66-70.
doi: 10.2174/1874210601105010066.

Oral inflammatory myofibroblastic tumor: case report and review of literature

Affiliations

Oral inflammatory myofibroblastic tumor: case report and review of literature

Nada O Binmadi et al. Open Dent J. .

Abstract

Inflammatory myofibroblastic tumor (IMT) is a rarely described tumor of unknown etiology and pathogenesis. It occurs primarily in the lungs, but has occurred in other extra-pulmonary sites. Histologically these lesions appear as an inflammatory infiltrate within a variably myofibrotic background. Current evidence shows that inflammatory myofibroblastic tumors are neoplastic processes resulting from chromosomal translocations that often cause an overexpression of ALK kinase, which is often assessed using immunohistochemical studies. Currently, the biological behavior of oral inflammatory myofibroblastic tumor is still uncertain. This article describes the clinical, histological, and operative features of a case of IMT of the oral cavity.

Keywords: Inflammatory myofibroblastic tumor; inflammatory pseudotumor; oral cavity..

PubMed Disclaimer

Figures

Fig. (1)
Fig. (1)
Intraoral photograph at the initial examination. A 15-mm painless nodule was observed on anterior maxillary ginigiva.
Fig. (2)
Fig. (2)
A,B) Low and high power views of the lesion, showing a proliferation spindle cells admixed with numerous chronic inflammatory cells (neutrophils, lymphocytes, macrophages and plasma cells) in a fibrous and myxoid background (hematoxylin and eosin, original magnification X4 and X20). C) Low power view of the immunohistochemical expression for smooth muscle actin showing positive spindle cells (original magnification X10). D) Immunohistochemical expression of ALK was positive (original magnification X10). E) Immunohistochemical expression of CD-68 showing positivity of histocytes (original magnification X10).
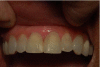
Fig. (3)
Fig. (3)
Postoperative follow up after four months showing complete healing of the gingiva and no signs of recurrence. Note closure of diastema with veneer.

References

    1. Narla LD, Newman B, Spottswood SS, Narla S, Koll IR. Inflammatory pseudotumor. Radiographics. 2003;23:719–29. - PubMed
    1. Shek AW, Wu PC, Samman N. Inflammatory pseudotumour of the mouth and maxilla. J Clin Pathol. 1996;49:164–7. - PMC - PubMed
    1. Van Weert S, Manni JJ, Driessen A. Inflammatory myofibroblastic tumor of the parotid gland: case report and review of the literature. Acta Otolaryngol. 2005;125:433–7. - PubMed
    1. Ide F, Shimoyama T, Horie N. Intravenous myofibroblastic pseudotumour of the buccal mucosa. Oral Oncol. 1998;34:232–5. - PubMed
    1. Liston SL, Dehner LP, Jarvis CW, et al. Inflammatory pseudotumors in the buccal tissues of children. Oral Surg Oral Med Oral Pathol. 1981;51:287–91. - PubMed

LinkOut - more resources