X-linked disorders with cerebellar dysgenesis
- PMID: 21569638
- PMCID: PMC3115841
- DOI: 10.1186/1750-1172-6-24
X-linked disorders with cerebellar dysgenesis
Abstract
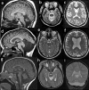
X-linked disorders with cerebellar dysgenesis (XLCD) are a genetically heterogeneous and clinically variable group of disorders in which the hallmark is a cerebellar defect (hypoplasia, atrophy or dysplasia) visible on brain imaging, caused by gene mutations or genomic imbalances on the X-chromosome. The neurological features of XLCD include hypotonia, developmental delay, intellectual disability, ataxia and/or other cerebellar signs. Normal cognitive development has also been reported. Cerebellar dysgenesis may be isolated or associated with other brain malformations or multiorgan involvement. There are at least 15 genes on the X-chromosome that have been constantly or occasionally associated with a pathological cerebellar phenotype. 8 XLCD loci have been mapped and several families with X-linked inheritance have been reported. Recently, two recurrent duplication syndromes in Xq28 have been associated with cerebellar hypoplasia. Given the report of several forms of XLCD and the excess of males with ataxia, this group of conditions is probably underestimated and families of patients with neuroradiological and clinical evidence of a cerebellar disorder should be counseled for high risk of X-linked inheritance.
Figures

References
-
- Batten FE. Ataxia in childhood. Brain. 1905;28:484.
-
- Zanni G, Bertini E, Bellcross C, Nedelec B, Froyen G, Neuhäuser G, Opitz JM, Chelly J. X-linked congenital ataxia: a new locus maps to Xq25-q27.1. Am J Med Genet. 2008;146:593–600. - PubMed
Publication types
MeSH terms
Grants and funding
LinkOut - more resources
Full Text Sources
Medical