Case of an unusual clinical and radiological presentation of pulmonary metastasis from a costal chondrosarcoma after wide surgical resection: a transbronchial biopsy is recommended
- PMID: 21575168
- PMCID: PMC3107161
- DOI: 10.1186/1477-7819-9-50
Case of an unusual clinical and radiological presentation of pulmonary metastasis from a costal chondrosarcoma after wide surgical resection: a transbronchial biopsy is recommended
Abstract
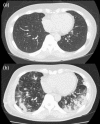
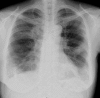
Chondrosarcomas are the most frequently occurring primary malignant chest wall tumors. Furthermore, the lungs serve as the most frequent sites for metastases. Pulmonary metastases from sarcomas usually appear as round nodules of varying sizes on roentgenograms. Here, we report an unusual clinical and radiographic presentation of pulmonary metastasis from a costal chondrosarcoma. Bilateral pulmonary metastases developed soon after wide surgical resection. Thoracic computed tomography revealed unusual radiological findings: consolidation accompanied with ground-glass opacity. To confirm the metastasis, we recommend a transbronchial biopsy in cases where unusual pulmonary findings are detected.
© 2011 Emori et al; licensee BioMed Central Ltd.
Figures





References
-
- Unni KK, Inwards CY. Dahlin's Bone Tumors: Aspects and Data on 10165 Cases. 6. Lippincott Williams & Wilkins; 2010. pp. 60–91.
-
- Lee FY, Mankin HJ, Fondren G, Gebhardt MC, Springfield DS, Rosenberg AE, Chondrosarcoma of bone: An assessment of outcome. J Bone Joint Surg. 1998. pp. 326–338. - PubMed
-
- Enneking WF, Spanier SS, Goodman MA. A system for the surgical staging of musculoskeletal sarcoma. Clin Orthop Relat Res. 1980;153:106–120. - PubMed
Publication types
MeSH terms
LinkOut - more resources
Full Text Sources
Medical