A case of multiple sclerosis presenting with inflammatory cortical demyelination
- PMID: 21576686
- PMCID: PMC3100131
- DOI: 10.1212/WNL.0b013e31821a44f1
A case of multiple sclerosis presenting with inflammatory cortical demyelination
Abstract
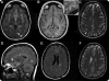
Objective: To describe a patient presenting with a clinically silent, incidentally found, and pathologically confirmed active demyelinating solitary cortical lesion showing MRI gadolinium contrast enhancement, in whom biopsy was performed before the radiographic appearance of disseminated white matter lesions.
Methods: Neurologic examination, MRI, CSF and serologic analyses, and brain biopsy were performed. Sections of formalin-fixed paraffin-embedded biopsied brain tissue were stained with histologic and immunohistochemical stains.
Results: Biopsy revealed an inflammatory subpial lesion containing lymphocytes and myelin-laden macrophages. Recurrent relapses with dissemination of MRI-typical white matter lesions characterized the subsequent course.
Conclusions: Our findings highlight that cortical demyelination occurs on a background of inflammation and suggest that the noninflammatory character of chronic cortical demyelination may relate to long intervals between lesion formation and autopsy. This case provides pathologic evidence of relapsing-remitting MS presenting with inflammatory cortical demyelination and emphasizes the importance of considering demyelinating disease in the differential diagnosis of patients presenting with a solitary cortical enhancing lesion.
Figures



References
-
- Kidd D, Barkhof F, McConnell R, Algra PR, Allen IV, Revesz T. Cortical lesions in multiple sclerosis. Brain 1999;122:17–26 - PubMed
-
- Peterson JW, Bo L, Mork S, Chang A, Trapp BD. Transected neurites, apoptotic neurons, and reduced inflammation in cortical multiple sclerosis lesions. Ann Neurol 2001;50:389–400 - PubMed
-
- Kutzelnigg A, Lucchinetti CF, Stadelmann C, et al. Cortical demyelination and diffuse white matter injury in multiple sclerosis. Brain 2005;128:2705–2712 - PubMed
-
- Merkler D, Ernsting T, Kerschensteiner M, Bruck W, Stadelmann C. A new focal EAE model of cortical demyelination: multiple sclerosis-like lesions with rapid resolution of inflammation and extensive remyelination. Brain 2006;129:1972–1983 - PubMed
Publication types
MeSH terms
Substances
Grants and funding
LinkOut - more resources
Full Text Sources