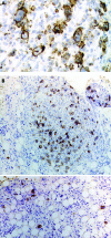
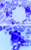
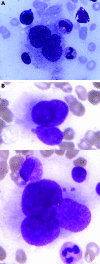
Unexpected finding on staging bone marrow aspirate for Hodgkin's lymphoma
- PMID: 21686373
- PMCID: PMC3027867
- DOI: 10.1136/bcr.12.2008.1298
Unexpected finding on staging bone marrow aspirate for Hodgkin's lymphoma
Figures
 
              
              
              
              
                
                
                 
              
              
              
              
                
                
                 
              
              
              
              
                
                
                 
              
              
              
              
                
                
                 
              
              
              
              
                
                
                References
- 
    - Stein H. Hodgkin lymphoma. : Jaffe ES, Harries NL, Stein H, et al., eds. Pathology and genetics of tumours of haematopoietic and lymphoid tissues. Lyon, France: IACS Press, 2001: 237–53
 
- 
    - Canellos GP, Anderson JR, Propert KJ, et al. Chemotherapy of advanced Hodgkin’s disease with MOPP, ABVD, or MOPP alternating with ABVD. New Engl J Med 1992; 327: 1478–84 - PubMed
 
- 
    - CTCAE Version 3. http://ctep.cancer.gov (accessed 12 November 2008)
 
LinkOut - more resources
- Full Text Sources
 
        