Syndrome of pleural and retrosternal "bridging" fibrosis and retroperitoneal fibrosis in patients with asbestos exposure
- PMID: 21686563
- PMCID: PMC3027384
- DOI: 10.1136/bcr.09.2008.0917
Syndrome of pleural and retrosternal "bridging" fibrosis and retroperitoneal fibrosis in patients with asbestos exposure
Abstract
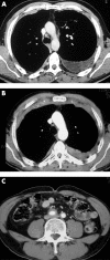
Two case histories are described of pleural and anterior mediastinal fibrosis presenting as a continuous fibrotic process with thick parietal pleural plaques extending from one pleura to the contralateral pleura through the retrosternal area, and with retroperitoneal fibrosis. Follow-up over 4 years in one case demonstrated rapid progression of disease, with pleural fibrosis preceding retrosternal and retroperitoneal fibrosis. Histopathological analysis in both cases showed non-tumoral fibrosis with broad fibrous bundles surrounding fibroblasts (and lymphocytes in one case). Possible causes such as infections and exposure to ergot derivatives were excluded. Both patients had been slightly or moderately exposed to asbestos.
Figures


References
-
- Jantz MA, Antony VB. Pleural fibrosis. Clin Chest Med 2006; 27: 181–91 - PubMed
-
- Buchanan DR, Johnston ID, Kerr IH, et al. Cryptogenic bilateral fibrosing pleuritis. Br J Dis Chest 1988; 82: 186–93 - PubMed
-
- Azoulay E, Paugam B, Heymann MF, et al. Familial extensive idiopathic bilateral pleural fibrosis. Eur Respir J 1999; 14: 971–3 - PubMed
-
- Hayes JP, Wiggins J, Ward K, et al. Familial cryptogenic fibrosing pleuritis with Fanconi’s syndrome (renal tubular acidosis). A new syndrome. Chest 1995; 107: 576–8 - PubMed
-
- Parish JM, Rosenow EC. Mediastinal granuloma and mediastinal fibrosis. Semin Respir Crit Care Med 2002; 23: 135–43 - PubMed
LinkOut - more resources
Full Text Sources