PNET/Ewing's sarcoma of the rectum: a case report and review of the literature
- PMID: 21691396
- PMCID: PMC3029497
- DOI: 10.1136/bcr.04.2009.1770
PNET/Ewing's sarcoma of the rectum: a case report and review of the literature
Abstract
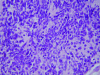
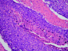
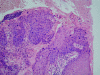
A 34-year-old female presented with anorectal pain and rectal bleeding due to an extensive rectal tumour. A trephine loop ileostomy was fashioned and biopsies were initially reported to show a poorly differentiated cloacogenic carcinoma. CT revealed numerous liver metastases. A histological review and immunohistochemical studies subsequently favoured a primitive neuroectodermal tumour (PNET). Stem-cell supported chemoradiotherapy resulted in complete resolution of her primary tumour and liver metastases. Serial CT scanning and endoscopy revealed no recurrence after 7 years of follow-up, when she presented with a malignant anal fissure. Imaging and subsequently abdominoperineal resection revealed no evidence of metastases from either the anal cancer or the PNET tumour. Histopathology showed a T1N0R0 basaloid squamous carcinoma originating from grade III squamous intraepithelial neoplasia with no obvious wart viral infection.
Figures





References
-
- Tefft M, Vawter G, Mitus A. Paravertebral “round cell” tumours in children. Radiology 1969; 92: 1501–9 - PubMed
-
- Angervall L, Enzinger FM. Extraskeletal neoplasm resembling Ewing’s Sarcoma. Cancer 1975; 36: 240–51 - PubMed
-
- Hart M, Earle K. Primitive neuroectodermal tumours of the brain in children. Cancer 1973; 32: 890–897 - PubMed
-
- Mobley B, Roulston D, Shah G, et al. Peripheral primitive neuroectodermal tumor/Ewing’s sarcoma of the craniospinal vault: case reports and review. Hum Pathol 2006; 37: 845–53 - PubMed
-
- Park J, Lee S, Kang H, et al. Primary Ewing’s sarcoma-primitive neuroectodermal tumor of the uterus: A case report and literature review. Gynecol Oncol 2007; 106: 427–32 - PubMed
LinkOut - more resources
Full Text Sources