Fibrous dysplasia of bone associated with soft-tissue myxomas as well as an intra-osseous myxoma in a woman with Mazabraud's syndrome: a case report
- PMID: 21707965
- PMCID: PMC3141698
- DOI: 10.1186/1752-1947-5-239
Fibrous dysplasia of bone associated with soft-tissue myxomas as well as an intra-osseous myxoma in a woman with Mazabraud's syndrome: a case report
Abstract
Introduction: Mazabraud's syndrome is a rare but well-described disorder characterized by fibrous dysplasia in single or multiple bones associated with one or more soft-tissue myxomas. In this report, we describe what is, to the best of our knowledge, the first case involving an intra-osseous myxoma. This finding supports, and could provide new insight into, the pathological association between fibrous dysplasia and myxomas.
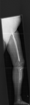
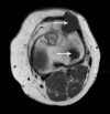
Case presentation: In this report, we describe the case of a 49-year-old Caucasian woman known for years to have fibrous dysplasia in the left femur and tibia who presented with progressive pain in her left leg and soft swelling in the left quadriceps region. After surgical intervention with excision of the soft-tissue mass, the diagnosis of Mazabraud's syndrome was confirmed. During follow-up, our patient presented with a painless mass located on the lateral side of the left knee, next to a second, intra-osseous lesion with the same characteristics in the left lateral tibial plateau. The histopathological examination was consistent with a soft-tissue intra-osseous myxoma.
Conclusion: In the international literature, 67 cases of Mazabraud's syndrome have been described so far.To our knowledge, the present case report is the first to describe the combination of polyostotic fibrous dysplasia and intra-muscular as well as intra-osseous myxoma.
Figures
References
-
- Henschen F. Fall von ostitis fibrosa mit multipelen tumoren in den umgebenden muskulatur. Verh Dtsch Ges Pathol. 1926;21:93–97.
-
- Mazabraud A, Semat P, Roze R. Apropos of the association of fibromyxomas of the soft tissues with fibrous dysplasia of the bones in French. Presse Med. 1967;75:2223–2228. - PubMed
-
- Campanacci M. Bone and Soft Tissue Tumors: Clinical Features, Imaging, Pathology and Treatment. 2. New York: Springer; 1999.
LinkOut - more resources
Full Text Sources
