A patient with hemoptysis and renal failure
- PMID: 21747974
- PMCID: PMC3124301
- DOI: 10.4061/2011/268370
A patient with hemoptysis and renal failure
Abstract
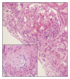
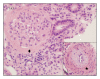
Pulmonary-renal syndrome is a medical emergency; etiology of which has broad differential diagnosis. Delay in both diagnosis and initiation of management may result in end-organ damage. Management decisions may have to be empiric till a rapid, definitive tissue diagnosis is established. We present such a case where prompt recognition and immediate treatment was initiated, although the patient sustained irreversible end-organ damage. The case also highlights the need to interpret the kidney biopsy data (namely, immunofluroscence findings) in the context of clinical presentation.
Figures
References
-
- Aithal S, Marley N, Venkat-Raman G. An unusual non-immunological cause of renal pulmonary syndrome. Clinical Nephrology. 2009;72(4):322–325. - PubMed
-
- Sato Y, Hara S, Yamada K, Fujimoto S. A rare case of alveolar haemorrhage due to malignant hypertension. Nephrology Dialysis Transplantation. 2005;20(10):2289–2290. - PubMed
-
- Hida K, Wada J, Odawara M, et al. Malignant hypertension with a rare complication of pulmonary alveolar hemorrhage. American Journal of Nephrology. 2000;20(1):64–67. - PubMed
-
- Laragh JH, Brenner BM. Hypertension: Pathophysiology, Diagnosis, and Management. New York, NY, USA: Raven Press; 1990.
-
- Chen CW, Perng WC, Li MH, Yan HC, Wu CP. Hemorrhage from an enlarged emphysematous bulla during commercial air travel. Aviation Space and Environmental Medicine. 2006;77(12):1275–1277. - PubMed
Publication types
LinkOut - more resources
Full Text Sources
