Skip to main page content
U.S. flag

An official website of the United States government

Dot gov

The .gov means it’s official.
Federal government websites often end in .gov or .mil. Before sharing sensitive information, make sure you’re on a federal government site.

Https

The site is secure.
The https:// ensures that you are connecting to the official website and that any information you provide is encrypted and transmitted securely.

Access keys NCBI Homepage MyNCBI Homepage Main Content Main Navigation
. 2008 Nov;8(3):347-52.

Orthopaedic Manifestations of Date Thorn Injury: Case series

Affiliations

Orthopaedic Manifestations of Date Thorn Injury: Case series

S S Suresh. Sultan Qaboos Univ Med J. 2008 Nov.

Abstract

Date palm thorn injuries are common in Middle Eastern countries where there are many date palm plantations. Most of the injuries happen to workers in the plantation or to children. Injuries, if detected, can be treated without subsequent complications, but in children the diagnosis can very easily be missed resulting in late complications. The hand, being the most exposed part of the body, is the most affected. Embedded thorns can produce lesions mimicking those of osteomyelitis. The foot is exposed to injuries in people who walk barefoot in the plantations. The author presents five cases of date thorn injury which presented with late complications. All three patients with hand injuries had periostitis, and one of them had an intraosseous thorn producing osteomyelitis. Two patients presented with osteolytic lesions of the metatarsals with intraosseous thorn in one patient. All cases recovered completely leaving behind no sequlae of the bony infection.

Keywords: Bone cyst; Case Report; Foreign body granuloma; Hand; Metatarsal; Oman; Osteomyelitis; Periostitis.

PubMed Disclaimer

Figures

Figure 1:
Figure 1:. Ultrasound scan. FB 11 mm lying 5 mm deep to skin, granuloma measuring 24 x 7.6 mm around the thorn
Figure 2:
Figure 2:. X-ray of foot showing osteomyelitis of 2nd metatarsal
Figure 3:
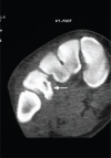
Figure 3:. CT scan of the right foot showing lytic lesion (arrow)
Figure 4:
Figure 4:. Date thorn infection of 3rd metacarpal. Single arrow: lytic lesion base of metacarpal; double arrow: periosteal reaction
Figure 5:
Figure 5:. Periosteal reaction of the middle phalanx of right middle finger

References

    1. Barry M, Maffulli N, Good C. The missed thorn. Acta Orthop Belg. 1992;58:468–470. - PubMed
    1. Suresh SS. Date thorn infections of the hand in children. J Hand Surg (Eur) 2008;33:227–329. - PubMed
    1. Balasubramaniam P, Prathap K. Pseudotumous due to oil palm thorn injury. Aust N Z J Surg. 1977;47:223–225. - PubMed
    1. Brady RC, Sommerkamp G. Thorn induced alteraria flexor tenosynovitis of the hand. Pediat Inf Dis J. 2001;20:1097–1098. - PubMed
    1. Diog SG, Cole WG. Plant thorn synovitis: Resolution following total synovectomy. J Bone Joint Surg. 1990;72B:514–515. - PubMed

LinkOut - more resources