First case of Segniliparus rotundus pneumonia in a patient with bronchiectasis
- PMID: 21752969
- PMCID: PMC3165615
- DOI: 10.1128/JCM.01023-11
First case of Segniliparus rotundus pneumonia in a patient with bronchiectasis
Abstract
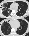
We report the first case of Segniliparus rotundus pneumonia in an adult with non-cystic fibrosis bronchiectasis. All isolates were identified as S. rotundus by 16S rRNA gene sequencing and rpoB PCR-restriction analysis. Antibiotic therapy with clarithromycin and ciprofloxacin for 2 months improved the patient's condition and achieved successful sputum conversion.
Figures


References
-
- Butler W. R., et al. 2005. Novel mycolic acid-containing bacteria in the family Segniliparaceae fam. nov., including the genus Segniliparus gen. nov., with descriptions of Segniliparus rotundus sp. nov. and Segniliparus rugosus sp. nov. Int. J. Syst. Evol. Microbiol. 55:1615–1624 - PubMed
-
- CLSI 2011. Susceptibility testing of mycobacteria, nocardia, and other aerobic actinomycetes. M24-A2. CLSI, Wayne, PA - PubMed
Publication types
MeSH terms
Substances
LinkOut - more resources
Full Text Sources
Miscellaneous