Benign gastro-colic fistula in a woman presenting with weight loss and intermittent vomiting: a case report
- PMID: 21756322
- PMCID: PMC3155123
- DOI: 10.1186/1752-1947-5-313
Benign gastro-colic fistula in a woman presenting with weight loss and intermittent vomiting: a case report
Abstract
Introduction: Benign gastro-colic fistula is a rare occurrence in modern surgery due to the progress in medical management of gastric ulcer disease. Here we report the first case of benign gastro-colic fistula occurring whilst on proton-pump inhibitor therapy. This is a case study of benign gastro-colic fistula and review of the available literature in regards to etiology, diagnosis, management and prognosis.
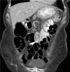
Case presentation: An 84-year-old woman of Caucasian background presented with 12 months of worsening abdominal pain, nausea, vomiting, diarrhea and weight loss on a background of known gastric ulcer disease.
Conclusion: The leading cause of gastro-colic fistulae has changed from benign to malignant due to improved medical management of gastric ulcer disease. The rarity and non-specific symptoms of gastro-colic fistula make the diagnosis difficult and it is best made by barium enema; however, computed tomography has not been formally evaluated. Surgical management with en bloc resection of the fistula tract is the preferred treatment. Benign gastro-colic fistulae are becoming exceedingly rare in the context of modern medical management of gastric ulcer disease. Surgical management is the gold standard for both benign and malignant disease.
Figures




References
-
- Aydin U, Yazici P, Ozutemiz O, Guler A. Outcomes in the management of gastrocolic fistulas; a single unit's experience. Turk J Gastroenterol. 2008;19(3):152–157. - PubMed
-
- Buyukberber M, Gulsen M, Sevinc A, Koruk M, Sari I. Gastrocolic fistula secondary to gastric diffuse large B-cell lymphoma in a patient with pulmonary tuberculosis. J Nat Med Assoc. 2009;101(1):81–83. - PubMed
-
- Coughlin G, Willings R, Hamilton D. Gastro-colic fistula complicating benign gastric ulcer in analgesic abusers. Aust N Z J Med. 1979;9(3):314–315. - PubMed
-
- Marschall J, Bigsby R, Nechala R. Gastrocolic fistulae as a consequence of benign gastric ulcer disease. Can J Gastroenterol. 2003;17(7):441–443. - PubMed
LinkOut - more resources
Full Text Sources
Research Materials